概述
维生素c缺乏症可表现为患者牙龈红肿,部分表面出血,伴有疼痛等症状,可能与吸收障碍等有关,可遵医嘱口服维生素C治疗。
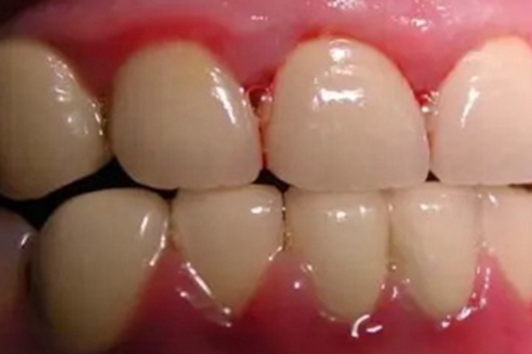
症状
维生素c缺乏症的黏膜损害可发生在牙龈,临床可表现为局部牙龈红肿,表面呈暗红色,牙龈边缘变厚,部分表面出血,常伴有疼痛和血腥样口臭,此外,患者还可伴有易激惹、厌食、体重不增等症状。


病因
维生素C缺乏症的病因主要有摄入不足、吸收障碍、需要量增加等。
摄入不足:乳母膳食长期缺乏维生素C,或以牛乳或单纯谷类食物长期人工喂养,而未添加富含维生素C辅食的婴儿,则易患本病。
吸收障碍:慢性消化功能紊乱,长期腹泻、感染等可致吸收减少。
需要量增加:婴儿和早产儿生长发育快,需要量增多;患感染性疾病,严重创伤等消耗增多,需要量亦增加;孕妇、乳母对维生素的需求增加;在高温、寒冷和缺氧条件下劳动和生活,经常接触铅、苯和汞的有毒作业工种人群,需求量发生变化。以上人群若不及时补充,易引起缺乏。
治疗
维生素C缺乏症的治疗轻症者可口服维生素C,重症者需静脉注射维生素C,待症状减轻后改为口服,一般需持续用药2-3周,其后应保证每日饮食需要量。同时供给维生素C丰富的水果或蔬菜,如橘子汁、西红柿汁等。有骨骼病变者应固定患肢。
如合并贫血,可加大维生素C剂量,并视情况补充铁剂或叶酸,治疗时需遵医嘱进行。
参考文献
[1]李冬主编.儿科医师处方手册[M].郑州:河南科学技术出版社,2020.8.
[2]孙瑞君,鲍春,汪世平,李智敬,宋冬梅主编.儿科疾病诊疗新技术与临床实践[M].北京:科学技术文献出版社,2019.225.
展开
