概述
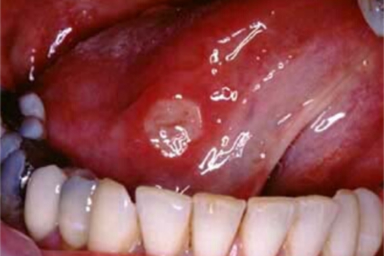
白塞病可发生在部分患者舌侧,表现为单个溃疡。
该情况病因尚不明确,治疗均需遵医嘱进行。
症状
白塞病可发生在部分患者舌侧,表现为单个溃疡,表面附有黄白色的假膜,形状不规则,但是边界清楚,患者自觉疼痛。溃疡可能会影响进食,有自愈倾向,但会反复发作。

病因
白塞病舌侧有个溃疡,病因尚不明确,可能与环境、感染、遗传、免疫异常等多种因素相关。
治疗
对于白塞病舌侧有个溃疡情况,患者需要进行药物治疗,常见药物包括复合维生素B片、维生素C片、醋酸泼尼松片、秋水仙碱片、沙利度胺片等。如果局部疼痛剧烈,可以局部使用林可霉素利多卡因凝胶等药物。注意上述治疗均需遵医嘱进行。
在日常生活中,患者应注意休息,并保证口腔卫生。建议改善个人饮食习惯,可以适当多吃一些富有营养的清淡食物,避免摄入一些辛辣、刺激、粗糙之物。
参考文献
[1]张学军,郑捷.皮肤性病学.第9版[M].北京.人民卫生出版社.2018.163-164.
[2]张建中,高兴华.皮肤性病学.第1版[M].北京.人民卫生出版社.2015.239-240.
展开
