概述
宫颈息肉可表现为宫颈口出现大肉球样损害,颜色为鲜红色,该病与慢性炎症刺激有关,可遵医嘱进行手术摘除。
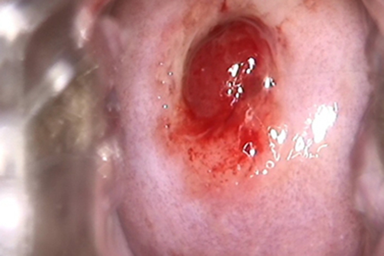
症状
宫颈息肉检查可见患者宫颈口出现大肉球样增生,呈类圆形,颜色为鲜红色,质地比较柔软,表面光滑,有血液渗出,体积过大时会堵塞宫颈。


病因
宫颈息肉是因为慢性炎症刺激使子宫颈管黏膜组织局部增生,而由于子宫自身有排异的倾向,致使增生的黏膜逐渐自基底部向宫颈外口突出,形成的息肉样改变,故也叫做宫颈内膜息肉。
治疗
宫颈息肉通常需要做宫颈癌前筛查,然后遵医嘱进行手术摘除,并送病理组织学检查。
参考文献
[1]吴绪峰主编.宫颈腺癌[M].武汉.湖北科学技术出版社.2020.233.
[2]尚金星,王晓玲,高霞主编.生殖系统健康自我管理手册[M].北京.中国医药科技出版社.2019.112.
[3]严滨,吕恽怡.妇产科学高级医师进阶.第1版[M].北京.中国协和医科大学出版社.2016.252.
展开
