概述
牙片又称根尖片,是检查牙的牙体、牙周支持组织及根尖病变的口内X线平片检查方法。
正常牙片中牙釉质影像密度最高,牙本质影像密度较牙釉质低,牙髓为低密度投射影像等。
正常表现
牙由牙釉质、牙本质、牙髓等组成,其不同部位牙片的表现有所差异。
牙釉质:这是人体中钙化程度最高的组织,X线片上影像密度亦最高,似帽状被覆在冠部牙本质表面。其在前牙切缘最厚,由切缘向侧方至牙颈部逐渐变薄,终止于牙颈部。有时牙颈部近中或远中因投照技术原因形成低密度影像,位于牙釉质和牙槽嵴顶之间,为正常表现。
牙本质:其矿物质含量较釉质少,围绕牙髓构成牙的主体,X线影像密度较牙釉质稍低。牙骨质覆盖于牙根表面牙本质上,很薄,在X线片上显示影像与牙本质不易区别。
牙髓:牙髓X线表现为低密度透射影像,可分为髓室和根管。X线影像中下颌磨牙髓腔似“H”形,上颌磨牙髓腔呈圆形或卵圆形。年轻人牙髓腔宽大,老年人髓室较年轻人小、根管亦细。

异常表现
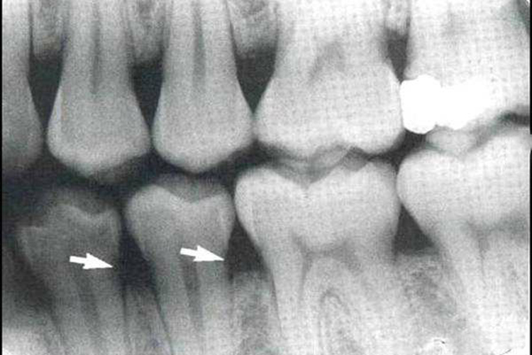
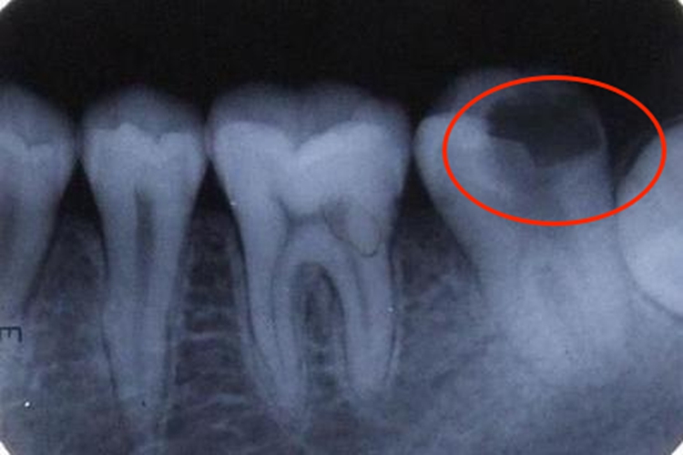
常见牙齿异常为龋齿。对于隐蔽的龋损,在不能直接视诊,且探诊也有困难时,可通过X线片检查辅助诊断,如邻面龋、潜行龋和充填物底壁及周缘的继发龋。龋损区因脱矿而在牙体硬组织显示出透射度增大的阴影,确定诊断。

参考文献
[1]张志愿主编.口腔医学4[M].北京.中国协和医科大学出版社.2019.2-3.
[2]耿春芳编著.实用口腔科疾病治疗进展[M].长春.吉林科学技术出版社.2019.115.
展开
