概述
牙釉质发育不全可表现为牙齿表面出现条纹状的凹陷,表面呈棕黄色,多与全身疾病、严重营养障碍等因素有关,需遵医嘱进行。
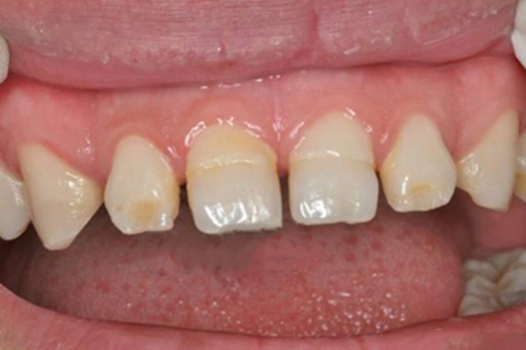
症状
牙釉质发育不全患者牙面上出现较多凹陷,呈条纹形或不规则小坑形,颜色为棕黄色,同时牙面颜色偏黄,无疼痛、敏感等异常症状,建议进行牙齿修复治疗。

病因
全身疾病、严重营养障碍、内分泌失调,以及严重的乳牙根尖周感染等因素,可导致牙釉质形成异常,从而导致牙釉质发育不全。
治疗
牙釉质发育不全者应预防龋病的发生。对于牙着色或缺陷,可遵医嘱使用复合树脂、烤瓷冠等方法进行修复治疗。
参考文献
[1]张志愿.口腔科学.第9版[M].北京.人民卫生出版社.2018.49-50.
[2]周学东.牙体牙髓病学.第5版[M].北京.人民卫生出版社.2020.46-47.
展开
