概述
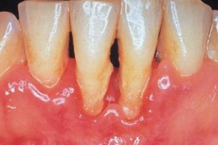
牙龈萎缩可导致牙龈发生的萎缩、红肿,使细长的牙根、牙颈外露,牙缝增宽。
本病的发生多与刷牙不当、固定修复体位于龈下过深等因素有关,可遵医嘱治疗。
症状
牙龈萎缩可导致牙龈出现不同程度的萎缩,外露出相对较细长的牙根、牙颈,导致牙缝增宽、变大,牙根表面发黄,可呈浅黄色、黄褐色。同时牙龈有异常的充血、红肿,可呈淡红色至鲜红色不等,质地坚韧,弹性减弱,触之易出血。

病因
牙龈萎缩的发生多与刷牙不当(如刷毛过硬、牙膏粗糙、刷牙方式不正确等)、固定修复体位于龈下过深、牙周炎等有关。另外,牙齿的咬合力太大或者矫正牙齿时,牵拉牙齿移动的力量过大,也容易引起牙龈萎缩、红肿,导致细长的牙根、牙颈外露。
治疗
牙龈萎缩的症状一般不可逆,患者出现牙根、牙颈外露,并有牙龈红肿等症状时,可根据自身情况,遵医嘱采取相应的手术治疗,如侧向转位瓣手术、游离龈瓣移植术、结缔组织瓣移植术等,可以覆盖暴露的根面。同时应注意纠正并去除发病诱因,以免症状复发或有持续性加重。
参考文献
[1]曲兆明.口腔种植与牙周病诊治技术[M].天津.天津科学技术出版社.2018:277.
[2]樊明文.临床医学口腔医学[M].北京.中国协和医科大学出版社.2018:95.
展开
