概述
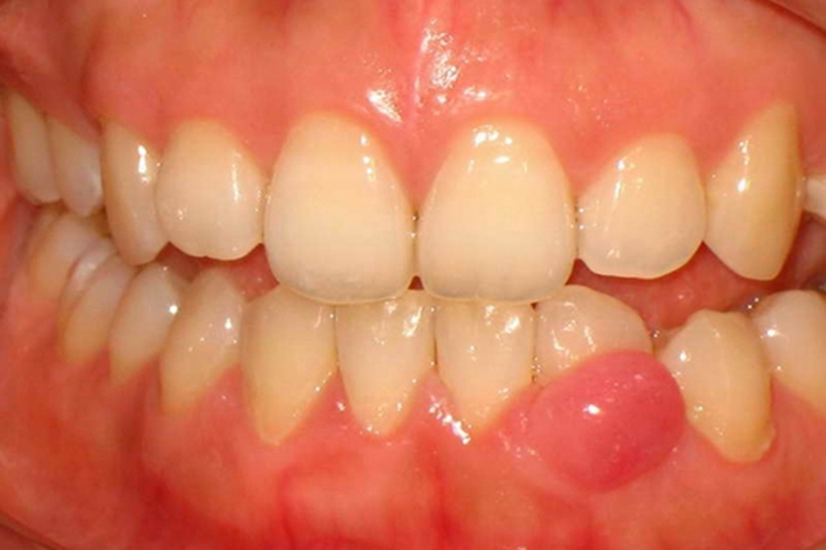
牙龈囊肿主要表现为牙龈表面出现粟粒大小的球状隆起。
牙龈囊肿病因不明,多与牙源性上皮的异常发育和表皮创伤等因素有关。
症状
牙龈囊肿可分为婴儿牙龈囊肿和成人牙龈囊肿,二者症状存在区别。
婴儿牙龈囊肿:多见于新生儿或出生后1-2个月的婴儿,在牙槽基黏膜上,一唇颊单侧,出现大量乳白色的小结节,小如米粒,大如绿豆,也可呈单个结节,结实,无炎症。刺破后,可挤出乳白色角化团。

成人牙龈囊肿:成人牙龈囊肿较小,可为单囊或多囊,可表现为缓慢增大的无痛性牙龈肿块,病变界限清楚,发生于附着龈或牙间乳头内,位于唇颊侧。表面光滑,呈正常牙龈色或淡蓝色。质软,有波动感,邻牙有活力。X线检查患区骨无改变,或仅表现较为模糊的圆形密度减低影像。

病因
牙龈囊肿病因并无明确,婴儿牙龈囊肿可能是起源于牙龈中增殖的上皮钉突的囊性病变,而成人牙龈囊肿可能是由于外伤性的上皮植入,或由于异位的残余上皮异常增殖所致。
治疗
牙龈囊肿一般无自觉症状,因婴儿牙龈囊肿向口腔生长,有破裂脱落的可能,故婴儿牙龈囊肿可自行脱落愈合,一般无需治疗。而成人牙龈囊肿,多需进行手术治疗,若出现继发感染,还需进行抗炎治疗。
参考文献
[1]耿春芳.实用口腔科疾病治疗进展[M].长春.吉林科学技术出版社,2019.247.
[2]徐平等.临床口腔医学疾病诊断与治疗[M].长春.吉林科学技术出版社,2018.375.
[3]蔡天刚.现代临床口腔科学上[M].长春.吉林科学技术出版社,2017.229.
展开
