概述
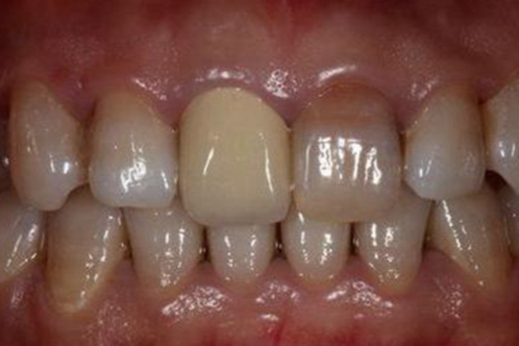
死髓牙的牙齿损害可表现为牙齿由透亮变为发黄,无明显光泽感,与血液供应中断及细菌代谢产物有关,需进行根管治疗。
症状
死髓牙的牙齿损害可表现为牙齿由透亮变为发黄,无明显光泽感。一般没有自觉症状。可能伴有深龋洞或其他牙体硬组织疾病等。

病因
死髓牙是指牙髓受到严重感染或损伤而死亡的情况。当髓腔内的血液供应中断,牙齿会失去营养和水分供应,逐渐变得干燥和脆弱。这种干燥会使牙釉质变得不光滑,从而导致牙齿失去光泽。此外,死去的细菌和其他细胞在髓腔内分解产生的代谢产物会渗入牙齿组织,导致牙齿染黄或出现暗色斑点,进一步使牙齿无光泽。
治疗
死髓牙导致的牙齿无光泽问题,可以通过根管治疗解决。根管治疗是一种常用的牙齿保存治疗方法,可以去除死髓牙髓腔内的感染和坏死组织。治疗过程包括清洁和扩大髓腔,彻底清除感染物和坏死组织,并填充髓腔以防止再次感染。患者应及时就医并听从牙医的建议进行合适的治疗。
参考文献
[1]樊明文主编.中华医学百科全书2临床医学口腔医学[M].北京.中国协和医科大学出版社.2018.41-42.
[2]北京医师协会组织编写.口腔科诊疗常规(临床医疗护理常规第二版)[M].北京.中国医药科技出版社.2020.31.
展开
