概述
口腔疣多指口腔尖锐湿疣,临床表现为口腔内出现单发或多发的小结节,后可逐渐增大,呈现出不同形状的突起。
口腔尖锐湿疣是由人乳头瘤病毒(HPV)感染引起的,多HPV-6型、11型、16等型引起。
症状
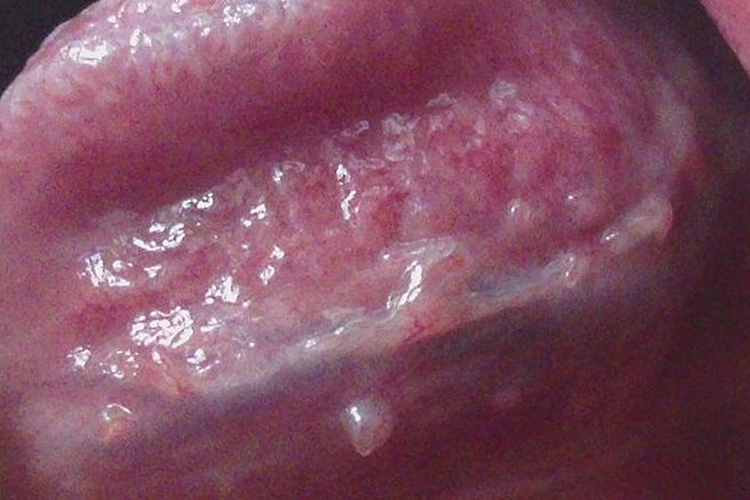
口腔尖锐湿疣好发于舌背、唇、牙龈、颊、腭、舌系带附近。主要表现为单个或多个小结节,绿豆或蚕豆大小,有蒂或无蒂,边界清楚。严重者疣体可逐渐增大或融合,形成菜花状、隆起乳头状、鸡冠状或鹅卵石的外观,颜色正常或灰白色。皮疹颜色多呈淡红色或鲜红色,触之出血。患者无痛,但可有异物感。

病因
口腔尖锐湿疣是感染人乳头瘤病毒(HPV)所致的,多与HPV-6型、HPV-11型、HPV-16型与感染有关。主要通过口交传染,少数通过间接接触传染,如接触被该病污染的生活用品,浴巾、便盆、内裤、浴盆等。
诊断
依据病史,发病部位和在较短时间内具有明显增大的乳头状病损,并在病损区有多个小乳头状损害,不难诊断。
治疗
目前还没有根除HPV感染的方法,治疗主要以去除外生疣为主。去除外生疣可用冷冻疗法、激光治疗和手术切除等方法。还可辅助外用咪喹莫特乳膏、鬼臼毒素酊、氟尿嘧啶涂抹患处联合治疗。
参考文献
[1]樊明文主编. 口腔临床医学导论[M].高等教育出版社,2003:93-94.
[2]陆海涛主编.临床皮肤性病学下第2版[M].吉林科学技术出版社,2019:308.
[3]刘保池,蔡端,朱同玉主编.特殊感染外科新理念与新技术[M].上海科技教育出版社,2017:386-387.
展开


