概述
肠梗阻的影像学检查主要包括X线和CT,表现为肠管积气、积液、气-液平面等,患者需要在医生指导下进行非手术治疗和手术治疗。
影像学表现
临床上肠梗阻的影像学检查主要包括X线和CT,症状表现存在一定的差异,需要根据具体的情况进行分析判断。
X线:立位检查可见肠腔内有多个液平面,液平面较短,肠腔内气柱高,同时还有小肠扩张积气,如单纯性小肠梗阻患者表现为积气肠曲舒展,肠管壁在气体衬托下,显示“鱼肋样”黏膜皱襞或皱襞减少。

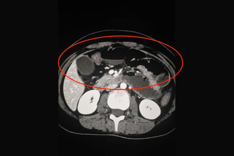
CT:肠梗阻患者进行CT检查,会显示扩张的肠曲,并可见多个肠腔内气-液平面。如果肠管互相融合成团,或与腹壁相连,提示为粘连性肠梗阻。如有肠套叠,则可显示出典型CT征象,出现三层肠壁征。


治疗方法
肠梗阻患者需要在医生指导下禁饮食,减少胃肠道积留的气体、液体,减轻腹内压力。适当补液纠正水、电解质紊乱和酸碱失衡,并及时给予抗生素预防或控制腹部感染。必要时采取手术治疗,通过切除坏死肠段,进行吻合,从而来解除梗阻。
参考文献
[1]韩萍,于春水.医学影像诊断学.第4版[M].北京.人民卫生出版社.2017.450-455.
[2]王承明.全科医学高级医师进阶.第1版[M].北京.中国协和医科大学出版社.2016.461.
展开
