概述
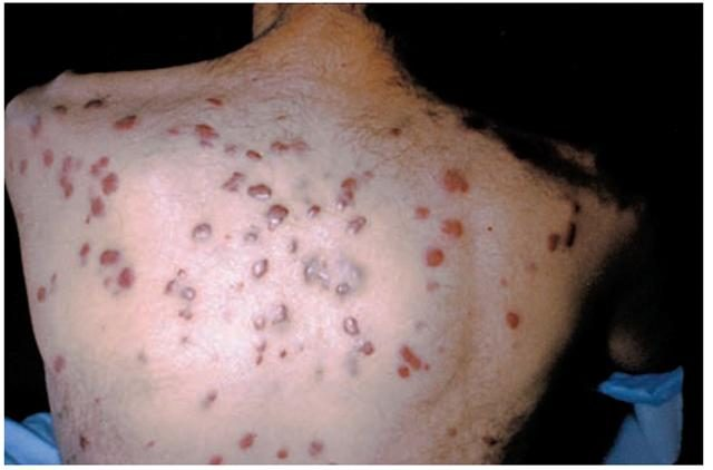
艾滋病背后疙瘩常表现为背部皮肤凹凸不平、皮损呈水疱或多形性,可出现斑疹、斑块。
艾滋病病毒侵犯人体,造成病毒血症以及免疫功能缺陷,进而出现背后疙瘩等症状。
症状
艾滋病背后疙瘩可大致分为感染性皮损、非感染性皮损及背部皮肤肿瘤,都会使背部出现疙瘩、凹凸不平,具体分型如下:
感染性皮损
主要表现为各种病原微生物的感染症状,如带状疱疹会在背部出现散在或簇集性的水疱,导致艾滋病患者背部出现凹凸不平的疙瘩,疼痛较为明显。

非感染性皮损
皮损呈多形性,可类似于脂溢性皮炎、毛发红糠疹等,此外还可以出现特应性皮炎、光敏性皮炎、玫瑰糠疹、荨麻疹、多形红斑及痤疮样皮损。皮肤表面凹凸不平的同时会伴有瘙痒感。

皮肤肿瘤
如卡波西肉瘤,出现在背部时皮损开始为粉红色斑疹,长轴与皮纹方向一致,以后颜色变暗,形成淡紫色或棕色的斑疹或斑块,最后变为出血性皮损和结节,高出皮肤。也是导致艾滋病患者背部出现疙瘩原因之一。

病因
艾滋病又称为获得性免疫缺陷综合征,是由艾滋病病毒(HIV)感染造成。HIV主要侵犯人体免疫系统,导致免疫功能缺陷,引起病毒血症以及各种机会性感染,致使背部皮肤出现各种皮损。
治疗
对于艾滋病目前尚无有效的治疗方法,必需联合用药。对于艾滋病后背疙瘩,除了应用抗艾滋病药物外,还需对症治疗,如带状疱疹者可遵医嘱加用阿昔洛韦、伐昔洛韦等抗病毒药物;非感染性皮损可遵医嘱使用地奈德、氢化可的松等糖皮质激素类药物,以及氯雷他定、盐酸西替利嗪等抗组胺药物;对于卡波西肉瘤,则需通过化疗、放疗等手段进行治疗。
参考文献
[1]张学军,郑捷主编.皮肤性病学.第9版[M].北京:人民卫生出版社,2018:224-225.
[2]张建中,高兴华主编.皮肤性病学[M].北京:人民卫生出版社,2015:83.
[3]李兰娟,任红主编.传染病学.第9版[M].北京:人民卫生出版社,2018:124.
[4]朴永君主编.皮肤性病学高级医师进阶[M].北京:中国协和医科大学出版社,2016.1:475.
[5]王健,徐立然,郭会军,梁碧颜,高国建.中医药治疗艾滋病实践论文汇编5中医药治疗艾滋病研究进展[M].北京:中医古籍出版社,2019.08:336-337.
