概述
牙龈萎缩可表现为患者部分牙根有轻微显露,牙体略有增长,可能与刷牙不当、咬合力过大等有关,需遵医嘱治疗。
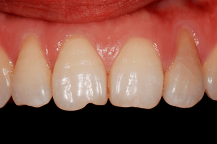
症状
牙龈萎缩的黏膜损害可表现为患者局部表面红肿,不能很好地包裹牙根,使部分牙根轻微显露,牙体略有增长,牙间乳头逐渐向牙槽骨方向退缩,牙缝逐渐增宽,刷牙时易出血,部分牙龈萎缩的患者可伴有其他症状,如牙龈敏感、食物嵌塞、龋齿等。

病因
牙龈萎缩可能是多因素导致的,主要与菌斑滞留、刷牙不当、正畸治疗、咬合力过大以及解剖因素等有关。部分患者患有牙周炎,经过治疗后炎症消退,也可表现为牙龈萎缩,牙根有轻微露出。
治疗
牙龈萎缩患者应查明病因,消除致病因素,如改变刷牙习惯、调整正畸力量、去除不良修复体等。可遵医嘱使用复方氯己定含漱液、复方硼酸溶液等漱口,减轻局部炎症。由于影响美观,可由专业医生用侧向转位瓣手术、游离龈瓣移植术、结缔组织瓣移植术等手术覆盖暴露的根面。
参考文献
[1]曲兆明.口腔种植与牙周病诊治技术[M].天津:天津科学技术出版社,2018:277.
[2]樊明文.临床医学口腔医学[M].北京:中国协和医科大学出版社,2018:95.
展开
