概述
脑囊虫症状指脑囊虫病引起的机体症状,可出现头痛、癫痫发作、恶心、呕吐等,是猪绦虫的幼虫寄生于脑内而引起。
症状
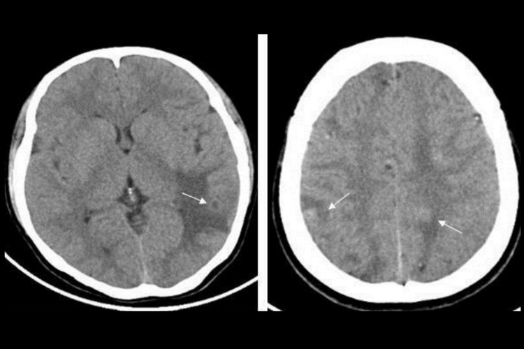
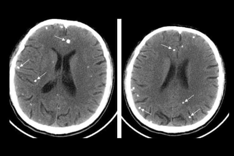
脑囊虫病的患者可出现头痛、癫痫发作、恶心、呕吐,还可出现眩晕、意识障碍、猝倒等颅内压增高的表现,当病灶位于大脑皮层时,可出现相应的运动、感觉、语言障碍,若病灶位于小脑还可能出现共济失调、眼球震颤等症状。病变部位通过CT检查可表现发现低密度影,其内可见小结节状等高密度影,为囊虫头节。


病因
脑囊虫病是猪绦虫的幼虫寄生于脑内引起的疾病。猪绦虫的虫卵可来自寄生于患者自身的虫体,由于呕吐或胃肠逆蠕动,使绦虫妊娠节片回流至胃内;或食入附有虫卵的食物,虫卵在十二指肠内孵化出六钩蚴,钻入肠壁并进入血液循环,播散到脑,发育成囊尾蚴,形成脑囊虫病。
治疗
脑囊虫病应进行驱虫治疗,常用的药物为吡喹酮片、阿苯达唑片等。若出现明显颅内压增高、癫痫频繁发作等,应采取降颅压、抗癫痫等对症治疗。若不宜使用药物治疗或药物驱虫治疗无效的患者可采用手术治疗,常用的手术有颞肌下减压术、脑室-腹腔分流术及囊虫摘除术。
参考文献
[1]吴江,贾建平.神经病学.第3版[M].北京.人民卫生出版社.2015.248-252.
[2]韩萍,于春水.医学影像诊断学.第4版[M].北京.人民卫生出版社.2017.46-47.
[3]高一鹭.神经外科诊疗常规[M].北京.中国医药科学技术出版社.2020.112-113.
[4]霍启祥主编.新编临床医学影像诊断[M].青岛.中国海洋大学出版社.2019.122-123.
展开
