概述
牙龈起白泡可表现为在牙龈上覆盖有白色乳凝块样小点,逐渐融合成大片不易擦去。
牙龈起白泡在临床上常见于鹅口疮、牙龈瘘管,可以通过外用药物等方式治疗。
症状
牙龈起白泡病因不同,所表现的症状也有所不同,临床常见于鹅口疮、牙龈瘘管。
鹅口疮:鹅口疮会表现为牙龈表面覆盖白色乳凝块样小点或小片状物,看起来像是白泡,可逐渐融合成大片,不易擦去。强行剥离后局部黏膜潮红、粗糙,可有溢血。

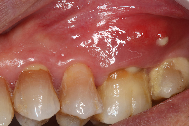
牙龈瘘管:部分牙齿的牙根较长,其根尖在颌骨内的位置较深,且超过口腔前庭沟,脓液易穿通较薄的骨壁至黏膜下,突破黏膜而形成相应部位的窦道,开口于黏膜表面的窦道多表现为黄豆大小的肉芽肿样,造成牙龈上有白泡的情况。

病因
牙龈起白泡根据不同的疾病,病因有所不同,需要由专业医生进行判断。
鹅口疮:鹅口疮为白色念珠菌感染口腔黏膜表面导致,营养不良、腹泻、长期使用广谱抗生素或类固醇激素的人群常有此症。
牙龈瘘管:牙龈瘘管是根尖周炎发展到晚期的一个症状,细菌感染为其主要致病因素。
治疗
牙龈起白泡的治疗需要根据相应的疾病,遵医嘱进行治疗。
鹅口疮:一般不需口服抗真菌药物,可以用碳酸氢钠溶液清洁口腔,或局部涂抹制霉菌素溶液,还可以口服肠道微生态制剂抑制真菌生长。
牙龈瘘管:牙龈瘘管需要对患牙进行根管治疗,经过开髓、根管预备、根管消毒及严密的根管充填,最后充填牙洞。日常注意牙龈卫生,早晚刷牙,食后漱口,定期复查。
参考文献
[1]王卫平,孙锟,常立文.儿科学.第9版[M].北京.人民卫生出版社.2018.210.
[2]陈艳青,娄秀秀,李会旭,尚淑贤,潘克清.5例牙源性窦道病例的临床分析[J].牙体牙髓牙周病学杂志,2017,27(10).
[3]张志愿.口腔科学.第9版[M].北京.人民卫生出版社.2018.61.
[4]王兆林,赵新春,刘军华主编.口腔疾病治疗理论与实践[M].长春.吉林科学技术出版社.2019.254.
