概述
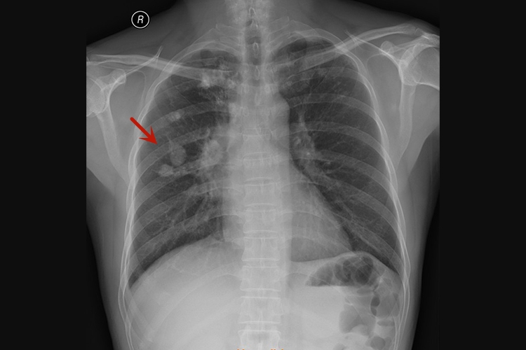
已经钙化的肺结核通常行胸部影像学检查发现,主要表现为边缘清楚、密度较高的斑点、条索、结节状影,由干酪样渗出病变逐渐形成。
症状
已经钙化的肺结核一般为结核球,胸X线片上常呈现境界清晰、密度较高的球形阴影,其内可有钙化,近心端有小溶解区,周围可有卫星灶及胸膜粘连,表现为斑点、条索、结节状影。

病因
已经钙化的肺结核,可由肺部干酪渗出病变逐渐吸收好转、局限化、纤维包膜而逐渐形成,也可由干酪厚壁空洞阻塞愈合形成。
治疗
肺结核应遵医嘱进行早期、联合、适量、规律、全程用药,常用药物有异烟肼、利福平、吡嗪酰胺、链霉素等,可帮助消灭结核菌、促进病变吸收、预防耐药及复发。已经钙化的肺结核患者完成规定的疗程,连续两次痰涂片结果阴性,其中一次是治疗末,则视为治愈。
参考文献
[1]毕丽岩.呼吸内科学[M].北京.中国协和医科大学出版社.2019.444-447.
[2]王肖龙.内科学[M].上海.上海科学技术出版社.2020.71.
展开
