概述
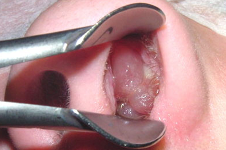
鼻腔里面有红色突出的肉球,可能是鼻息肉、慢性肥厚性鼻炎、鼻腔血管瘤等疾病导致,表现为鼻腔肿物、鼻塞等症状,需针对性治疗。
症状
鼻息肉、慢性肥厚性鼻炎、鼻腔血管瘤等疾病,都可导致鼻腔里面有红色突出的肉球,具体如下:
鼻息肉
发生鼻息肉时,鼻腔内可见一个或多个表面光滑、灰白色、淡黄色或淡红色的半透明如荔枝肉状肿物,表现为鼻腔里面有红色突出的肉球,触之柔软,一般不易出血。同时,还可伴有持续性鼻塞、嗅觉减退等鼻腔堵塞症状。

慢性肥厚性鼻炎
慢性肥厚性鼻炎显著特征为下鼻甲肿大,表面不平,呈结节状,外观似鼻腔里面有红色突出的肉球,可部分或全部堵塞鼻腔。同时伴有持续性鼻塞,部分患者出现鼻涕后流、嗅觉减退、头痛等症状。

鼻腔血管瘤
鼻腔血管瘤可出现鼻腔反复出血、进行性鼻塞,突入鼻咽部可致咽鼓管功能障碍,出现耳鸣、听力下降等。鼻镜检查可见鲜红或暗红、质软、有弹性的肿瘤,表现为鼻腔里面有红色突出的肉球,触之易出血,多见于鼻中隔或下鼻甲前端。

病因
鼻息肉是由于鼻-鼻窦黏膜慢性炎症性疾病导致。慢性肥厚性鼻炎一般是由慢性单纯性鼻炎迁延而来。鼻腔血管瘤病因不清,可能与胚胎组织残余、外伤、感染和内分泌紊乱有关。
治疗
发生鼻息肉、慢性肥厚性鼻炎、鼻腔血管瘤时,应遵医嘱进行针对性治疗。
鼻息肉
主张综合治疗,包括药物治疗和手术治疗。药物治疗可使用鼻用或全身用糖皮质激素,也可使用鼻用减充血剂,如盐酸羟甲唑啉喷雾剂等。药物治疗无效时可手术治疗,如圈套法、电动切吸法等。
慢性肥厚性鼻炎
局部治疗包括鼻喷糖皮质激素或血管收缩药,主要用于减轻鼻塞症状。药物治疗不理想者,可进行物理疗法或外科干预,如下鼻甲硬化剂注射,下鼻甲电灼、电凝或激光,微波和射频治疗以及下鼻甲部分切除术等。
鼻腔血管瘤
鼻腔血管瘤以手术治疗为主,如鼻内镜下采用电凝或等离子技术切除瘤体及其根部黏膜。
参考文献
[1]迟艳侠.五官科常见疾病综合诊疗[M].北京.中国纺织出版社.2020.35-36.
[2]夏寅,林昶.全国普通高等医学院校五年制临床医学专业"十三五"规划教材 耳鼻咽喉头颈外科学[M].北京.中国医药科技出版社.2016.111-112,121-122.
