概述
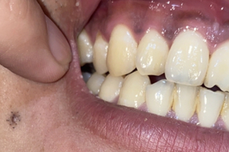
牙龈萎缩患者在临床上可表现为牙龈缘出现回缩、变形的情况,失去原本的圆弧外形。
该症状由炎症反应引起,患者应及时到正规医院的口腔科就诊。
症状
牙龈萎缩患者在临床上可表现为牙龈缘出现回缩、变形的情况,失去原本的圆弧外形,使牙齿外露的牙冠部分变长,常伴有牙结石、软垢等物质嵌塞在牙缝。

病因
当患者缺乏营养,机体抵抗力弱时,会使牙龈组织变得脆弱,容易受到损伤,在口腔卫生差、食物刺激等诱发因素下,可引发牙龈炎症反应,进而导致牙龈回缩、变形,失去原本的圆弧外形。
治疗
患者应及时到正规医院的口腔科就诊,在医生指导下进行饮食调整或药物治疗,以加强营养,提高机体免疫力,并进行牙龈沟或者牙周袋的冲洗,去除龈沟或者袋内的食物残渣、软垢、牙菌斑、游离细菌、牙石碎片,然后再外用药物,即可控制牙龈或牙周的炎症,防止牙槽骨继续吸收,进而控制牙龈回缩、变形的症状。
除此之外,对于已经萎缩的牙龈,多数情况下无法生长出,如果患者自觉影响美观,可以从腭侧取牙龈进行移植,以恢复牙龈形态。
参考文献
[1]曲兆明.口腔种植与牙周病诊治技术[M].天津:天津科学技术出版社,2018:277.
[2]樊明文.临床医学口腔医学[M].北京:中国协和医科大学出版社,2018:95.
展开
