概述
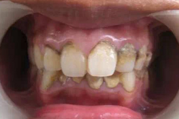
牙龈萎缩可表现为大范围牙龈缺血发白,牙根处变黑,有明显的色素沉积带。
该病主要与刷牙不当、牙周炎、固定修复体位于龈下过深等有关,可遵医嘱治疗。
症状
牙龈萎缩可表现为大范围牙龈缺血发白,牙根处变黑,有明显的色素沉积带,牙龈局部肿胀,牙体变长,牙本质暴露于口腔内,进食时温度、机械或化学刺激均导致牙根酸痛。

病因
牙龈萎缩主要与刷牙不当、固定修复体位于龈下过深等有关。当牙根暴露后,容易出现牙结石的现象,在每当进食后,食物的色素就可能堆积在牙结石上方,出现牙根变黑的现象。同时周围牙龈组织受损,血液循环机能下降,从而出现牙龈发白的情况。此外,牙周炎,经过控制炎症以后,牙龈也可出现萎缩现象。
治疗
针对牙龈萎缩牙龈发白牙根变黑的症状,应查明病因,消除致病因素,如改变刷牙习惯、调整正畸力量、去除不良修复体等。
必要时可在医生的操作下采用侧向转位瓣手术、游离龈瓣移植术、结缔组织瓣移植术等手术覆盖暴露的根面。患者可遵医嘱每间隔半年,做一次洗牙和牙齿检查。
参考文献
[1]曲兆明.口腔种植与牙周病诊治技术[M].天津.天津科学技术出版社,2018:277.
[2]樊明文.临床医学口腔医学[M].北京.中国协和医科大学出版社,2018:95.
展开
