概述
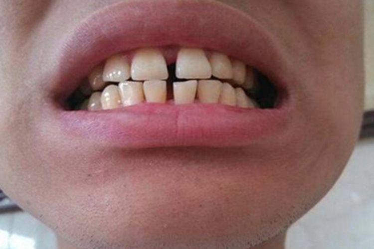
巨颌症患者牙齿可出现畸形,门牙之间的牙缝明显变大,是由颌骨过度生长所致,可进行手术治疗。
症状
巨颌症患者牙齿可出现畸形,门牙之间的牙缝明显变大,此时症状不是非常明显,严重者可出现视力、呼吸、言语、吞咽等方面的异常。

病因
巨颌症是一种颌骨过度生长的疾病,颌骨的过度生长会导致牙槽骨的变形和扩大,使牙齿在口腔中的位置发生改变。这种颌骨变形会使得牙齿咬合不正,造成牙齿排列紊乱、牙缝增大。另外,巨颌症患者的颌骨大于正常人群,而牙齿大小与颌骨的相对关系保持不变,所以牙齿相对更显得短小、畸形,牙缝大。
治疗
巨颌症导致的牙齿畸形和牙缝增大,可以通过手术治疗改善。手术治疗的常见方法是颌面骨截骨手术,旨在重新塑造和调整颌骨的大小和形状。在手术过程中,医生会根据患者的具体情况,有针对性地截取一定长度的颌骨,并使用特殊的固定器件固定骨块。通过这种方式,可以有效地调整牙齿的位置和咬合关系,改善牙齿畸形和减小牙缝的大小。
参考文献
[1]王松灵著.口腔医学1[M].北京.中国协和医科大学出版社.2017.341.
[2]朱友志,王龙胜,高斌等主编.CT诊断与临床中枢神经头颈及骨骼肌肉[M].合肥.安徽科学技术出版社.2018.327.
展开
