概述
角膜挫伤可表现为患者角膜出现水肿,局部有斑块,边界清晰,伴有疼痛、畏光等,发病与手指戳伤等有关,可遵医嘱用药治疗。
症状
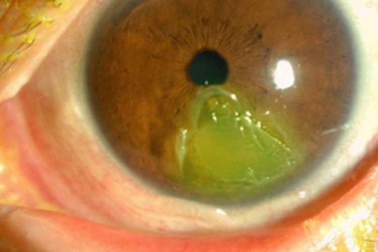
角膜挫伤的黏膜损害可表现为局部水肿,在其表面可出现似三角形地荧光绿色斑块,边界清晰,由于上皮损伤,角膜感觉神经末梢受到刺激,有明显的疼痛、畏光及眼睑痉挛等症状,视力也受到影响。


病因
角膜挫伤常由玩具手枪、气枪子弹、手指戳伤等引起。儿童由于喜欢玩玩具水枪和玩具气枪而伤及角膜的多见;成人的角膜挫伤常由工作中的器具如扳手、砂轮等引起。
治疗
角膜挫伤中角膜上皮缺损者,伤眼可遵医嘱涂红霉素眼膏或氧氟沙星眼膏包扎。如果上皮缺损面积较大,或伴有前弹力层损伤者,可加用角膜上皮生长因子,双眼包扎。对于角膜水肿严重的患者,在角膜上皮愈合后,可遵医嘱应用糖皮质激素滴眼液滴眼,减轻水肿。
参考文献
[1]张秋丽等主编.眼科疾病诊治与显微手术应用.下[M].长春.吉林科学技术出版社.2016.355.
[2]葛坚,王宁利.眼科学.第3版[M].北京.人民卫生出版社.2015.474.
展开
