概述
牙斑通常指牙菌斑,可表现为暗白色的聚积物,通常可诱发龋病、牙周炎等疾病,建议日常需加强口腔清洁。
表现
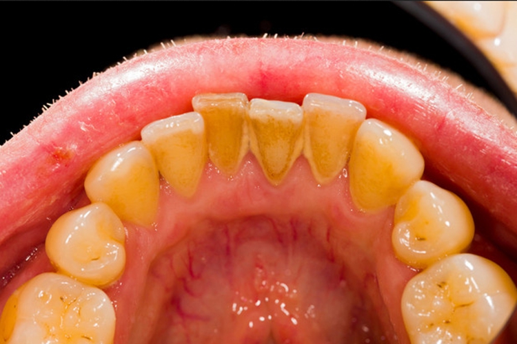
牙菌斑是指黏附于牙齿表面的微生物群,由于细菌附着特异性较强,使附着的细菌保持黏附于牙齿表面,不会轻易脱落。通常牙菌斑数分钟内就会形成,为一层没有结构与细胞薄膜的物质,并且会迅速增厚,通常表现为白色或暗白色的聚积物,厚度各异,长期堆积就会呈现黄色。

危害
牙菌斑不及时处理可能会诱发多种疾病,如龋病、牙周炎等。牙菌斑中包含多种细菌、真菌、病毒等,容易刺激口腔组织发生炎症,还有可能损坏牙齿本身情况,因此建议日常按时进行口腔清洁。
参考文献
[1]樊明文.牙体牙髓病学.第4版[M].北京.人民卫生出版社.2013.12.
[2]黄银雪,霍丽珺,雷雅燕.牙菌斑生物膜研究模型的进展[J].中华口腔医学研究杂志(电子版),2018,12(04):251-254.
[3]乌日汉,郭小娟.基于宏基因组学技术的牙菌斑形成过程研究[J].世界最新医学信息文摘,2018,18(43):44-47.
展开
