概述
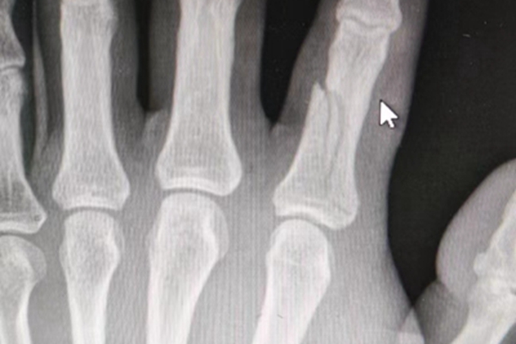
骨折可发生在手指,患者影像学检查时可见裂纹,断裂面不规整,自觉有明显疼痛。
该病是骨受到的压力超过它所能承受的限度导致,需遵医嘱进行手法复位和手术复位治疗。
症状
骨折发生在手指部位时,受伤部位的皮肤发红、肿胀,可明显高于周围正常皮肤,同时患者可因疼痛剧烈、肿胀使患肢活动受限。患者在进行影像学检查时,可见局部发生断裂,并有明显的裂纹,断裂面不规整。


病因
骨折是骨受到的压力超过它所能承受的限度导致,骨折的常见原因是在运动中摔倒、撞击,或者是车祸所致。骨质疏松症会增加骨折的危险。
治疗
骨折患者应及时遵医嘱进行复位治疗,如手法复位和手术复位,同时牢固固定,具体分为分内固定和外固定,另外需早期功能锻炼,可以促进骨折局部血液循环,加速骨折愈合,促进功能康复。尽可能做到骨折复位不增加局部软组织损伤,固定骨折而不妨碍肢体活动,使骨折愈合和功能恢复同期完成。
参考文献
[1]宋敬东编著.图解家庭医学百科;全彩图解典藏版[M].天津.天津科学技术出版社.2018.04.254-255.
[2]本书专家组编.公卫医师应试指导;2016版[M].北京.中国协和医科大学出版社.2016.01.319-321.
[3]王玲娣主编.实习护士手册;第3版[M].上海.上海科学技术出版社.2016.08.303.
展开
