概述
牙周炎发生后,可见患者牙龈红肿,牙龈出血,以及口臭等症状。本病发病的原因,有局部也有全身的因素,患者需遵医嘱进行治疗。
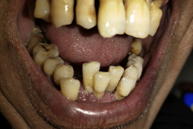
症状
牙周炎是牙周组织的慢性炎症,可表现为牙龈红肿,呈鲜红色,还会出现牙齿松动、牙根暴露、牙龈出血,以及口臭等,病情发展下去,可对牙龈、牙槽骨等牙周组织造成实质性破坏。



病因
牙周炎发病的原因,有局部也有全身的因素,局部因素包括不注意口腔卫生、牙石和牙垢堆积、食物嵌塞、不良补牙和镶牙刺激,以及压迫牙龈等;全身因素如内分泌、遗传、营养等。
治疗
牙周炎患者需遵医嘱去除病因,对于轻症患者,以洁治术、龈下刮治和根面平整术等非药物治疗措施清除局部致病因素,治疗后可用过氧化氢溶液或醋酸氯已定溶液局部冲洗。另外,部分患者需辅助全身用药和局部药物治疗。
参考文献
[1]张志愿.口腔科学.第9版[M].北京.人民卫生出版社.2018.240.
[2]樊明文主编.中华医学百科全书 2 临床医学 口腔医学[M].中国协和医科大学出版社.2018.80.
展开
