概述
伸直型肱骨髁上骨折多由间接暴力引起,如跌倒。伤后会感觉到肘部肿胀、疼痛,肱骨踝上处有明显的压痛、功能障碍。
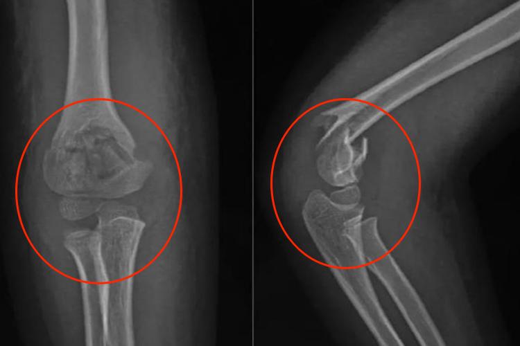
症状
伸直型肱骨髁上骨折的症状根据伤后是否有移位骨折而有所不同。无移位骨折时,肘部肿胀、疼痛,肱骨髁上有明显的压痛、功能障碍,X线可见骨折裂缝;有移位骨折时,肘部肿痛较明显,肿胀严重时可出现张力性水疱,肘后突起呈靴形畸形,但肘后三角关系仍保持正常,X线可见骨折断端移位。


病因
伸直型肱骨髁上骨折是当跌倒时,肘关节处于半屈或伸直位,手掌着地,暴力经前臂向上传递,身体向前倾,由上向下产生剪式应力,使肱骨干与肱骨髁交界处发生的骨折。
治疗
伸直型肱骨髁上骨折,受伤时间短,局部肿胀轻,没有血液循环障碍者,可去骨科进行手法复位外固定。手法复位失败,伴有神经血管损伤时,可以采取手术治疗,术后应严密观察肢体血液循环及手的感觉、运动功能。抬高患肢,早期可进行手指及腕关节的屈伸活动,有利于减轻水肿。
参考文献
[1]丁淑贞,倪雪莲主编.儿科临床护理[M].中国协和医科大学出版社.2016.340-342.
[2]沈尚模主编.骨科疾病临床诊疗思维[M].云南科学技术出版社.2020.353-355.
展开
