概述
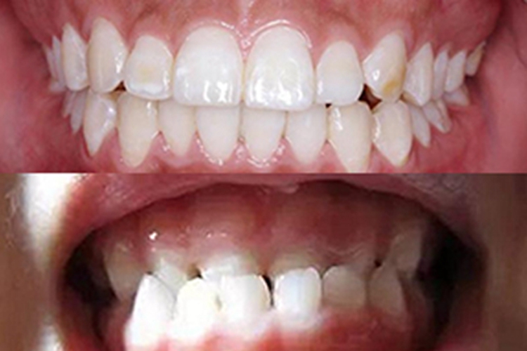
牙齿深覆合可表现为上颌前牙牙冠覆盖下颌前牙牙冠唇面的1/3以上,或下颌前牙切缘咬合于上颌前牙牙冠唇面的1/3以上。
症状
牙齿深覆合是上下牙弓及颌骨垂直向发育异常所致的错颌畸形,即前牙区牙和牙槽高度发育相对或绝对过度,或后牙区牙和牙槽高度发育相对或绝对不足。临床上主要表现为上颌前牙牙冠覆盖下颌前牙牙冠唇面的1/3以上,或下颌前牙切缘咬合于上颌前牙牙冠唇面的1/3以上。

治疗
牙齿深覆合处于不同阶段,其治疗措施也有一定差异,应遵医嘱进行针对性治疗。
替牙期及恒牙初期:患者可采用上颌活动矫治器,矫正上切牙内倾的同时矫正深覆(牙合),让下颌及下切牙自行调整,待上切牙牙轴改正,深覆(牙合)改善后,视下颌情况作活动或固定矫治器排齐下前牙,改正下切牙内倾和曲度过大的矢状曲线。
恒牙后期及成年人时:因为生长发育已基本结束,治疗重点应是矫正牙及牙槽峭的异常。但使用的矫治力应更轻,更柔和,以利于牙周组织改建,如可用固定矫治器,先矫正内倾的上颌切牙以解除对下颌的锁结,上牙弓舌侧可附平面导板打开后牙咬合以矫正深覆(牙合)。对于严重的深覆(牙合),必要时可以采用外科正畸治疗。
参考文献
[1]王玮主编.现代实用口腔医学[M].云南科学技术出版社,2020.599-601.
[2]张志愿.口腔科学.第9版[M].北京.人民卫生出版社.2018.220.
[3]北京医师协会组织编写.口腔科诊疗常规[M].北京:中国医药科技出版社,2020.420-421.
[4]马莉莉编著.现代口腔科疾病诊疗新进展[M].长春:吉林科学技术出版社,2019.166-168.
展开
