概述
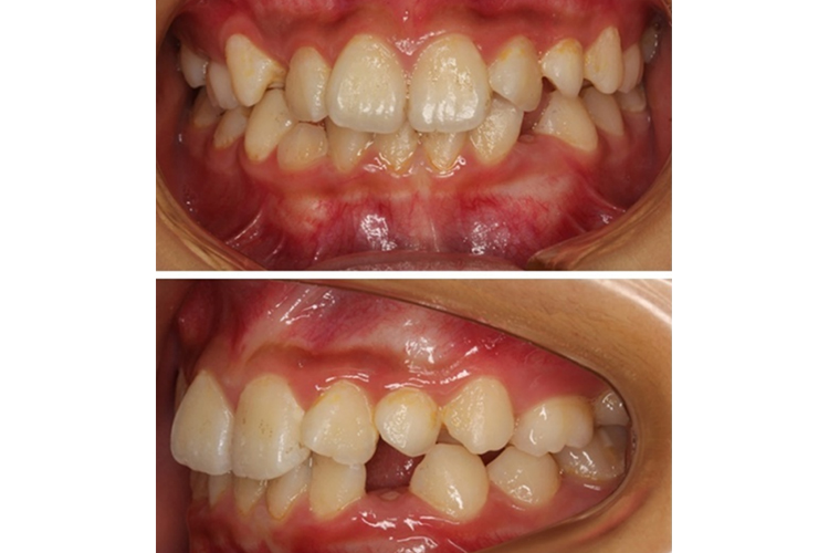
牙齿深覆合是上下牙弓及颌骨垂直向发育异常所致的错(牙合)畸形,常伴有其他错(牙合)畸形,与多种因素有关,可分为三类。
症状
牙齿深覆合可分为上颌牙唇倾度正常、上颌前牙唇倾、上颌前牙直立或内倾三种类型,症状各有不同。
上颌牙唇倾度正常:多见于替牙期和恒牙早期,面部一般无畸形,严重深覆合时面下1/3稍显短,可有下切牙轻度拥挤、舌倾。

上颌前牙唇倾:患者多表现为深覆合合并深覆盖,即典型的安氏Ⅱ类1分类错(牙合),上颌长度不调,口周肌力不协调,上唇短而松弛,下唇紧张。观察侧貌外形显示上颌前突或下颌后缩或两者兼有,上下前牙呈开唇露齿。

上颌前牙直立或内倾:患者前牙覆盖可减少至1mm,伴上颌前牙拥挤、内倾,呈严重闭锁(牙合),可咬伤上颌前牙舌侧或下颌前牙唇侧龈组织,后牙为中性(牙合)或远中(牙合),下颌牙弓Spee曲线增大,有时上颌牙弓补偿曲线呈反向弧形。面部外形尚好,可呈方面形,面下1/3高度降低,下颌角明显突出,下颌平面角常为低角型。

病因
牙齿深覆合与遗传因素、咬合因素等有关,可能是单个或多个因素所致。
遗传因素:上下颌骨间大小、形态发育不调可导致深覆合。
咬合因素:咬肌、翼内肌张力过大,有紧咬牙习惯,抑制了后牙牙槽嵴的生长,可导致深覆合。
其他:如儿童时期颌骨发育不良,后牙萌出不足,后牙槽嵴高度发育不足而前牙槽嵴高度发育过度,就可能导致牙齿深覆合。
治疗
牙齿深覆合根据患者所处年龄段不同,可采取相应处理措施,如替牙期及恒牙初期、恒牙后期及成人等。
替牙期及恒牙初期:牙性深覆合者可采用上颌活动矫治器进行矫正,骨性深覆合者可采取上颌活动矫治器或固定矫治器。
恒牙后期及成人:此期生长发育已基本结束,应当重点矫正牙及牙槽嵴的异常,牙性深覆合可采取固定矫治器,骨性深覆合者必要时可采用外科-正畸治疗。
参考文献
[1]王玮主编.现代实用口腔医学[M].云南科学技术出版社,2020.599-601.
[2]北京医师协会组织编写.口腔科诊疗常规[M].北京:中国医药科技出版社,2020.420-422.
[3]段银钟,林典岳,孙应明主编.安氏2类错囗 正畸诊断与治疗[M].北京:人民军医出版社,2015.62.
