概述
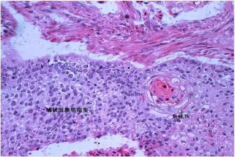
食道鳞状细胞癌表现为进行性加重的吞咽困难,镜下可见有轻度的糜烂症状。
食道鳞状细胞癌可能与不良生活习惯、慢性炎症和遗传因素相关。
症状
食道鳞状细胞癌临床主要表现为不同程度的吞咽困难。早期无明显症状,病变局限,部分患者出现轻微的胸骨后疼痛、烧灼感或哽噎感。进展期患者多出现吞咽困难等典型临床症状,甚至不能进食。早期鳞状细胞癌通常未侵犯肌层,镜下可见癌变处黏膜轻度糜烂或表面呈颗粒状、微小的乳头状凸起。





病因
食道鳞状细胞癌是由食管黏膜上皮或腺体细胞发生癌变产生的恶性肿瘤。不良的生活习惯(如长期饮酒、大量吸烟、大量摄入亚硝酸盐、食用过烫过硬食物等)及各种长期不愈合的食管炎都可引起本病。食道鳞状细胞癌存在家族聚集现象,可能与遗传因素相关。
治疗
食道鳞状细胞癌患者需要维持水、电解质平衡和营养支持。早期患者通过手术切除病灶治疗,中晚期患者需通过手术与放疗、化疗结合治疗,无法手术的患者可通过放疗、化疗改善生存质量,对于复发或出现远处转移的患者主要进行化疗、免疫治疗、靶向治疗。
参考文献
[1]步宏,李一雷.病理学.第9版[M].北京.人民卫生出版社.2018.228-229.
[2]孙虹,张罗.耳鼻咽喉头颈外科学.第9版[M].北京.人民卫生出版社.2018.401.
展开
