概述
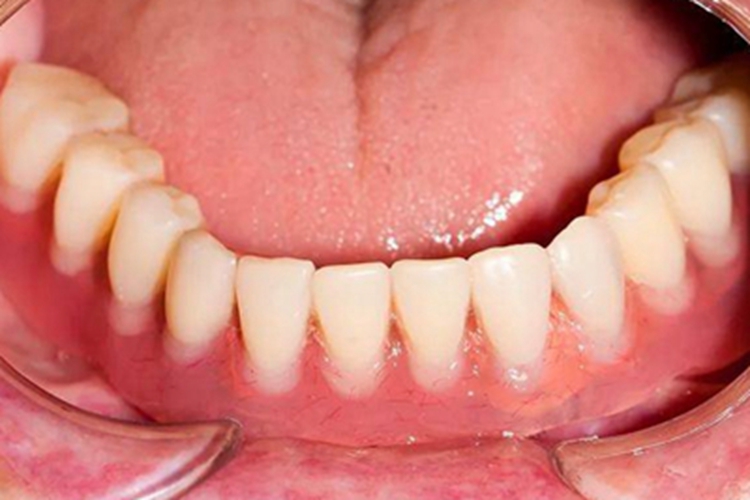
牙龈萎缩发生后,可见患者牙龈轻微红肿,局部牙龈稍向下缩小。该情况可能由刷牙导致,治疗均需遵医嘱进行。
症状
牙龈萎缩发生后,可见患者牙龈轻微红肿,局部牙龈稍向下缩小,牙根处附着少许牙菌斑,但不易清除,极易导致牙龈发炎。患者可伴有其他症状,如牙龈敏感、食物嵌塞、龋齿等。

病因
牙龈萎缩牙龈轻微红肿,可能由刷牙导致,如刷牙方式不对、牙刷刷毛过硬等。另外,牙周炎、不良修复体、过度的咬合力或正畸力等因素,也可能诱发此种情况。
治疗
对于牙龈萎缩牙龈轻微红肿情况,患者需要仔细观察损害变化,如果症状不进展,可以去除致病因素后暂行观察。如果牙龈退缩持续进展,甚至影响美观,必要时进行手术治疗。注意上述治疗均需遵医嘱进行。
在日常生活中,患者需要放松心情,并避免摄入一些辛辣、刺激性产品,以免加重不适。
参考文献
[1]曲兆明.口腔种植与牙周病诊治技术[M].天津:天津科学技术出版社,2018:277.
[2]樊明文.临床医学口腔医学[M].北京:中国协和医科大学出版社,2018:95.
展开
