概述
骨折重叠移位通常为完全骨折,患者断端可有疼痛、肿胀、肢体短缩等表现,多是由于直接或间接暴力导致,需进行复位、固定处理。
症状
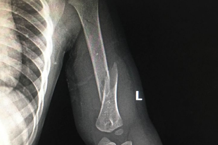
骨折重叠移位为完全骨折表现,多发生于长骨处,断裂处骨骺和干骺端远折端向近侧位移,形成刺刀样重叠畸形。患者还可有明显疼痛症状,移动时加重。骨折端肿胀、畸形,出现移位可导致肢体短缩、弯曲,并伴有活动功能的丧失。


病因
骨折重叠移位多是骨组织受暴力作用而导致,主要包括直接暴力(如冲撞、挤压等)、间接暴力(暴力经传导后远离受伤处骨组织骨折)、肌肉牵拉、积累性暴力等因素导致,骨折发生后断裂的骨组织向近端移位重叠,形成骨折重叠移位症状。
治疗
骨折重叠移位时,骨折端活动可引起疼痛,损害周围软组织,增加出血,甚至可引起休克。因此经初步检查,对骨折处肢体予以固定处理。固定时应防止皮肤受压损伤,四肢固定要露出指、趾尖,便于观察血液循环,经处理后需及时就医,进行手术复位固定处理,后期应尽早在专业人士指导下进行康复训练,以促进恢复。
参考文献
[1]杨君礼主编.骨科诊疗图解[M].郑州.河南科学技术出版社.2019.260.
[2]马文辉编著.骨科疾病临床诊疗[M].长春。吉林科学技术出版社.2019.95.
[3]赵龙等编著.现代骨科中西医临床诊疗学[M].长春.吉林科学技术出版社.2019.119.
[4]樊政炎编著.临床外科与骨科诊疗[M].长春.吉林科学技术出版社.2019.68.
展开
