概述
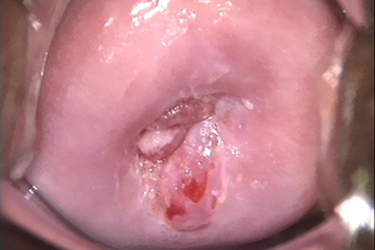
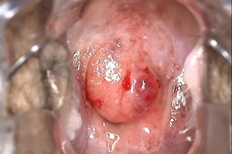
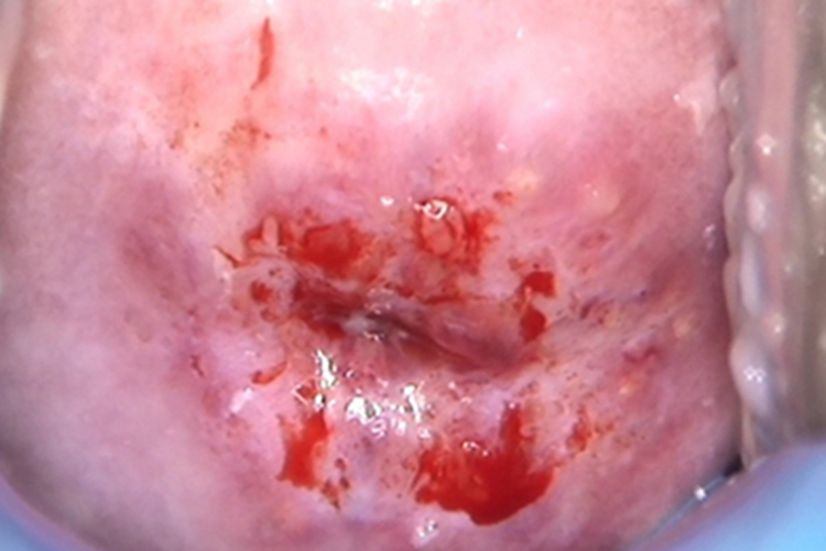
宫颈囊肿可表现为局部表面出现半透明囊泡,白带增多,偶有性交后出血。
疾病的主要原因是慢性炎症的刺激,可遵医嘱采用激光治疗。
症状
宫颈囊肿表现为在宫颈表面,可见单个或多个大小不等的半透明囊泡,如果腺腔内液体为黄黏性,囊肿则呈不透明状,可以和宫颈糜烂同时存在,也可单独出现。临床上常无症状,或仅有白带增多,偶有性交后出血,一般在妇科检查或超声检查时被发现。



病因
引起宫颈囊肿的主要原因是慢性炎症的刺激,当新生的鳞状上皮覆盖宫颈腺管口时就会导致管口堵塞,分泌物引流受阻滞留,在宫颈的表面会形成单个或多个(似痘样的)青白色小囊泡,腺腔扩张成为囊肿,称宫颈囊肿,也叫作宫颈纳氏囊肿。
治疗
宫颈囊肿一般不需要特殊处理,定期做宫颈癌前筛查,复查即可,但深部的宫颈囊肿在子宫表面无异常,大的囊肿或伴有感染的可采用激光或微波治疗,以上治疗均需遵医嘱进行。
参考文献
[1]李卫平主编.女性常见病症科普手册[M].北京.中国科学技术出版社,2020.09.22-23.
[2]吴绪峰主编.宫颈腺癌[M].武汉.湖北科学技术出版社,2020.08.234.
展开
