概述
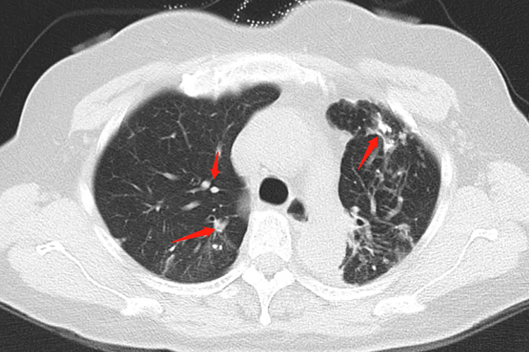
肺结核干酪样坏死在影像表现为大片状实变影,实变影上有单个或多个虫蚀样空洞。
肺结核由人型或牛型结核杆菌引起肺部慢性传染病,主要通过药物治疗。
影像表现
肺结核干酪样坏死在影像表现为病变部位出现均匀或不均匀中等密度的大片状实变影,早期类似大叶性肺炎,CT平扫密度较普通肺炎密度高,在大片实变影中可出现单个无壁空洞或多个蜂窝状的无壁小空洞,空洞多为虫蚀样;增强扫描病灶可有强化;在同侧或对侧肺可见支气管播散病灶。

病因
肺结核由人型或牛型结核杆菌引起肺部慢性传染病,当菌量大、毒力强、机体抵抗力低、变态反应明显或未适当治疗时,渗出增殖病变常可发展为坏死病变,肉眼下呈干酪样改变。
治疗
肺结核患者以药物治疗为主,严格遵医嘱按疗程用药,常用药物有异烟肼片、利福平胶囊、注射用硫酸链霉素、盐酸乙胺丁醇片等;对于反复咯血或感染,不能耐受化疗或化疗效果不佳的患者,可以采取手术治疗。
参考文献
[1]李兰娟,任红.传染病学.第9版[M].北京.人民卫生出版社.2018.216-218.
[2]徐克,龚启勇,韩萍.医学影像学.第8版[M].北京.人民卫生出版社.2018.123-124.
[3]方伟军,何玉麟,卢亦波等《肺结核影像诊断标准》解读[J].新发传染病电子杂志.2021.75.
展开
