概述
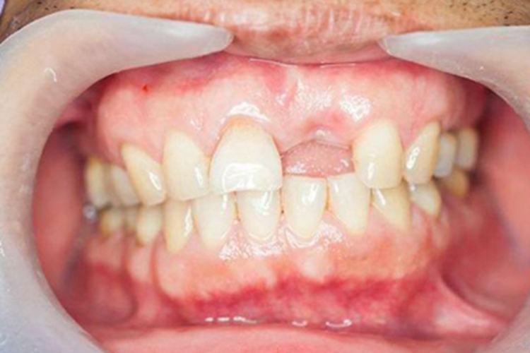
牙龈萎缩可发生于全口牙龈,临床上可表现为牙龈缺血、水肿,颜色发白。
该症状可由多种因素导致的细菌感染引起,可在医生指导下进行家庭护理及手术治疗。
症状
牙龈萎缩可发生于全口牙龈,临床上可表现为牙龈缺血、水肿,颜色发白。牙龈高低不协调,伴随局部肿胀,自觉牙龈敏感等症状,随疾病发展,影响美观,并出现根面龋,部分患者还伴随着牙齿缺失的症状。

病因
患者继发牙周炎、刷牙不当、固定修复体位于龈下过深等情况,都可导致牙结石、牙菌斑等,若长期得不到清理,引发细菌滋生,刺激牙龈,就会导致牙龈萎缩,进而出现牙龈颜色发白缺血的症状。
治疗
患者应查明病因,消除致病因素,如改变刷牙习惯、调整正畸力量、去除不良修复体等。
同时,患者可在专业医生的操作下,使用氟保护漆保护暴露的根面组织。对于个别牙或少数前牙的牙龈退缩而影响美观者,可用侧向转位瓣手术、游离银瓣移植术、结缔组织瓣移植术等手术覆盖暴露的根面。
参考文献
[1]曲兆明.口腔种植与牙周病诊治技术[M].天津:天津科学技术出版社,2018:277.
[2]樊明文.临床医学口腔医学[M].北京:中国协和医科大学出版社,2018:95.
展开
