概述
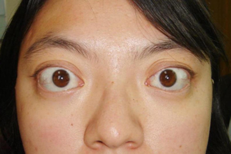
甲状腺相关眼病可表现为眼部的睑裂开大,双侧眼球突出畸形,严重者可有暴露性角膜炎。病因不明,可遵医嘱进行药物、放射等治疗。
症状
甲状腺相关眼病可出现眼部的眼睑退缩和上睑迟滞,表现为睑裂开大,暴露上方部分巩膜,眼球下转时上睑不能随之下落,双侧眼球突出畸形,眼球运动障碍和复视,严重者可有暴露性角膜炎。


病因
甲状腺相关眼病的病因不明,可能与体液免疫、细胞免疫、球后促甲状腺素受体异常表达、成纤维细胞异常增生等因素关系密切,也与种族、遗传及生活方式相关,比如吸烟已经明确是其危险因素。
治疗
甲状腺相关眼病的患者,如伴有甲状腺功能异常,需积极治疗原发病。同时患者眼部治疗包括药物治疗、放射治疗和手术治疗等,可遵医嘱进行相应的治疗。
药物主要是使用糖皮质激素,严重者可联用免疫抑制剂。放射治疗适用于伴有眼外肌肥大的活动期甲状腺相关眼病患者。手术治疗主要包括眼眶减压术、眼肌手术和眼睑手术。
参考文献
[1]杨培增,范先群.眼科学.第9版[M].北京.人民卫生出版社.2018.263-264.
[2]葛均波,徐永健.眼病学.第3版[M].北京.人民卫生出版社.2017.180-182.
展开
