概述
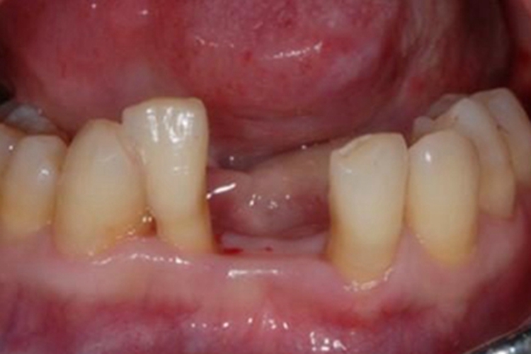
牙龈萎缩发生后,可见患者牙龈龈肉发白、缺血。该情况可能与外伤相关,治疗均需遵医嘱进行。
症状
牙龈萎缩发生后,可见患者牙龈龈肉发白、缺血,牙尖乳头基本消失,牙龈整体低平、牙体细长。牙根处可出现黄褐色至棕褐色的色素带,有时可有刺激痛。部分患者还可出现食物嵌塞、龋齿等异常情况。

病因
牙龈萎缩龈肉发白,可能与外伤相关,如横刷牙齿、刷牙用力过大刺激牙龈等。牙周炎、固定修复体位于龈下过深等情况,也可导致。
治疗
对于牙龈萎缩龈肉发白情况,患者需要明确具体或是可疑的诱发因素,并进行规避,如改善刷牙习惯、拆除不良修复体等。注意加强对损害的观察,如果出现异常表现,应及时就医。需要时可酌情选用一些药物,如阿莫西林胶囊、盐酸多西环素片等。注意上述治疗均需遵医嘱进行。
在日常生活中,患者需要注意口腔卫生,做到饭后漱口、早晚刷牙。
参考文献
[1]曲兆明.口腔种植与牙周病诊治技术[M].天津:天津科学技术出版社,2018:277.
[2]樊明文.临床医学口腔医学[M].北京:中国协和医科大学出版社,2018:95.
展开
