概述
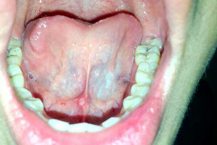
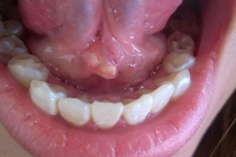
舌系带上白色疙瘩可能是表皮样囊肿、尖锐湿疣、涎石病导致,主要表现为舌头下面的舌系带及附近出现白色疙瘩样肿块。
症状
表皮样囊肿、尖锐湿疣、涎石病都可能会导致舌系带上出现白色疙瘩,具体症状有一定区别。
表皮样囊肿
口底及舌下区是表皮样囊肿最常见的部位。皮损可呈白色肿块,生长缓慢、无痛,但在青春期可能生长稍快。扪诊肿块柔软,面团样感,无波动,和周围组织界限清楚。肿块一般位于中线,少数病例可偏向一侧。

尖锐湿疣
初期表现为局部细小丘疹,针头至绿豆大小,逐渐增大或增多,向周围扩散、蔓延,渐发展为乳头状、鸡冠状、菜花状或团块状赘生物。损害可单发或多发,颜色可为灰白色,表现为舌系带上出现白色疙瘩。

涎石病
涎石病是指发生在涎腺腺体及其导管中的钙化性团块而引起的一系列病变,小的涎石一般不造成唾液腺导管阻塞,无症状。典型的导管结石为长圆形,呈枣核状,可表现为舌系带上白色疙瘩。

病因
表皮样囊肿、尖锐湿疣、涎石病是不同的疾病,其病因并不相同。
表皮样囊肿:表皮样囊肿是发生于胚胎的发育性上皮剩余,或是外伤植入上皮所致,发生于口底的囊肿可能是由第1、2对鳃弓融合时残留的上皮所引发。
尖锐湿疣:尖锐湿疣是由人乳头瘤病毒感染引起,以皮肤黏膜疣状增生性病变为主的性传播疾病,临床主要通过性途径传播,口腔黏膜湿疣多由口腔接触生殖器感染引起。
涎石病:是由腺体或导管内发生钙化性团块而引起的一系列病变,下颌下腺最为多发,其次是腮腺。
治疗
表皮样囊肿、尖锐湿疣、涎石病是不同的疾病,有不同的治疗方式,应在医生指导下进行针对性治疗。
表皮样囊肿:常采用外科手术摘除,表皮样囊肿囊壁较厚,一般易于完整摘除。
尖锐湿疣:治疗原则以局部去除疣体为主,通过物理治疗、光动力治疗,尽可能消除疣体周围的亚临床感染和潜伏感染,减少复发。常用的物理治疗包括激光、冷冻、电灼、微波等。
涎石病:腺体发生急性感染时,首先应进行抗感染治疗,根据病情采取内服抗菌药、止痛药、输液理疗等措施。下颌下腺导管结石可在口内切开取石,若下颌下腺内及导管后段结石继发慢性下颌下腺炎,腺体已丧失功能可施行下颌下腺切除术。
参考文献
[1]张震康,俞光岩,徐韬.实用口腔科学.第4版[M].北京.人民卫生出版社.2016.280.
[2]陈谦明.口腔黏膜病学.第5版[M].北京.人民卫生出版社.2020.142-144.
[3]孙正.口腔科诊疗常规[M].北京.中国医药科技出版社.2020.189.
