概述
艾滋病初期即为艾滋病急性期,若口腔感染白色念珠菌可导致口腔念珠菌病,需药物治疗。
艾滋病患者的口腔念珠菌病常见为急性假膜型念珠菌性口炎、急性红斑型念珠菌性口炎。
症状
艾滋病即为获得性免疫缺陷综合征,艾滋病初期即为艾滋病急性期,若艾滋病急性期患者口腔感染白色念珠菌可导致口腔念珠菌病,临床上较常见的类型为急性假膜型念珠菌性口炎、急性红斑型念珠菌性口炎。
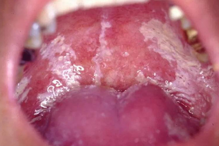
急性假膜型念珠菌性口炎
急性假膜型念珠菌性口炎多见于长期使用激素者、艾滋病患者、免疫缺陷者、婴幼儿及衰弱者,又称新生儿鹅口疮或雪口病。好发部位为颊、舌、软腭及唇,损害区黏膜充血,随即出现许多散在的色白如雪的小斑点,略高起,状似凝乳,逐渐增大,不久即相互融合为白色丝绒状斑片,严重者蔓延至扁桃体、咽部、牙龈。早期黏膜充血较明显,斑片附着不紧密,稍用力可擦掉,露出红的黏膜糜烂面及轻度出血。

急性红斑型念珠菌性口炎
急性红斑型念珠菌性口炎又称抗生素口炎、抗生素舌炎,多见于长期应用抗生素、激素后及艾滋病患者,并且大多数患者患有消耗性疾病,如白血病、营养不良、内分泌紊乱、肿瘤化疗后等。主要表现为黏膜充血、糜烂,舌背乳头呈团块萎缩周围舌苔增厚,自觉症状为味觉异常或味觉丧失,口腔干燥,黏膜灼痛。

病因
艾滋病是由人类免疫缺陷病毒(HIV)引起的慢性传染病,主要经性接触、血液、母婴等途径传播。白色念珠菌为条件致病菌,常寄生在正常人的口腔、肠道、阴道和皮肤等处,与体内其他微生物保持共生平衡状态,并不致病,当艾滋病导致宿主防御功能降低时,这种非致病性念珠菌大量繁殖而致病。
治疗
艾滋病本身可给予高效抗反转录病毒治疗,即使用齐多夫定、拉米夫定、硫酸阿巴卡韦等抗反转录病毒制剂治疗。若艾滋病患者出现口腔念珠菌病,可给予氟康唑、伊曲康唑、制霉素等药物治疗。
参考文献
[1]刘镇,刘惠灵,霍敏俐主编.中西医结合急危重症医学[M].云南科学技术出版社,2020.564.
[2]李兰娟,任红.传染病学.第9版[M].北京.人民卫生出版社.2018.122-129.
[3]张志愿.口腔科学.第9版[M].北京.人民卫生出版社.2018.72.
[4]中华医学会感染病学分会艾滋病丙型肝炎学组,中国疾病预防控制中心,李太生.中国艾滋病诊疗指南(2021年版)[J].中国艾滋病性病,2021.10.
