概述
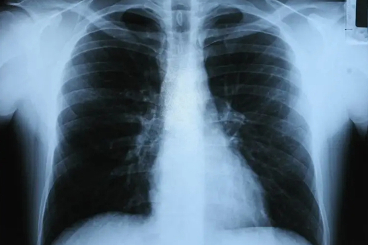
肺结核患者可出现咳嗽、咯血等症状,X片可见空洞或钙化灶,正常人群无上述症状。
肺结核多与结核杆菌感染有关,可导致肺部器质性病变,临床上常通过药物进行治疗。
症状
肺结核患者可出现咳嗽、咳痰、痰液增多、痰中带血等呼吸道症状,严重者可出现咯血、呼吸困难。当结合病灶累及胸膜时,可出现胸痛,随呼吸运动和咳嗽加重。此外患者还可出现午后潮热、乏力倦怠、盗汗、食欲减退、体重减轻等全身症状。正常人群一般无上述异常症状。

肺结核患者通过X线检查可发现肺部病变处呈多状态,即浸润增殖、干酪、纤维钙化病变可同时存在,密度不均匀边缘较清楚和病变变化较慢,易形成空洞和播散病灶。正常人群肺部X线多无异常。

病因
肺结核主要为病原菌感染所致,常见致病菌包括结核分枝杆菌、牛分枝杆菌、田鼠分枝杆菌等,主要以飞沫传播为主。致病菌侵袭肺部可出现肺组织坏死、干酪液化、空洞、结核变态等反应,从而出现上述症状。
治疗
肺结核主要通过药物杀死病菌从而达到治疗的目的,其治疗原则为早期、规律、全程、适量、联合。常用药物包括异烟肼片、注射用硫酸链霉素、利福平胶囊、盐酸乙胺丁醇片、吡嗪酰胺片等。
参考文献
[1]葛均波,徐永健,王辰.内科学.第9版[M].北京.人民卫生出版社.2018.62-69.
[2]赵安芝主编.新编临床护理理论与实践[M].北京.中国纺织出版社,2020.57-58.
展开

