概述
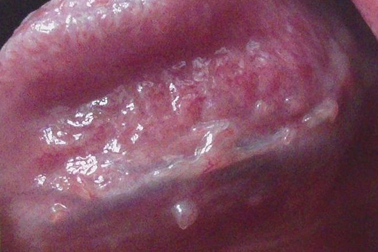
口腔初期小疣体指的是口腔尖锐湿疣,初期口腔内出现的疣状赘生物,形状可能是菜花状、乳头瘤样或鸡冠样。
口腔尖锐湿疣是由人乳头瘤病毒(HPV)感染引起的,多由6、11、16等型引起。
症状
口腔尖锐湿疣好发于舌背、唇、牙龈、颊、腭、舌系带附近。初期主要表现为小而柔软的粉红色丘疹,逐渐增大至长锥形疣状物,可单发或数量逐渐增多,绿豆或蚕豆大小,有蒂或无蒂,边界清楚,可逐渐增大或融合,成为大的菜花状或乳头瘤样、鸡冠样或蕈样的赘生物,颜色正常或灰白色。疣体表面也可角化发白或有糜烂、溃疡,有分泌物。患者一般无自觉症状,可有异物感。
病因
口腔尖锐湿疣是由人乳头状瘤病毒(HPV)所致的皮肤黏膜良性赘生物传染病。主要通过性接触、间接接触以及母婴传播,HPV有几十种,而HPV6、HPV11、HPV16与口腔尖锐湿疣的发生有关。
诊断
依据病史、发病部位和在较短时间内具有明显增大的乳头状病损,并在病损区有多个小乳头状损害,不难诊断。另外,可配合组织活检、实验室检查以及醋酸白试验阳性结果进行诊断。
治疗
目前还没有根除HPV感染的方法,治疗主要以去除外生疣为主。去除外生疣可用冷冻疗法、激光治疗和手术切除等方法。
参考文献
[1]樊明文.口腔临床医学导论[M].高等教育出版社,2003:93-94.
[2]陆海涛.临床皮肤性病学·下(第2版)[M].吉林科学技术出版社,2019:308.
[3]刘保池,蔡端,朱同玉.特殊感染外科新理念与新技术[M].上海科技教育出版社,2017:386-387.
展开



