概述
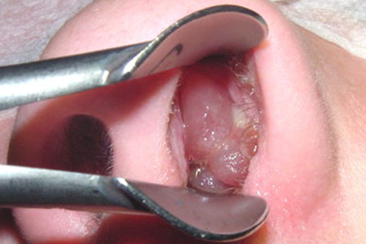
鼻息肉外观为表面光滑的半透明软组织新生物,常见症状为持续性鼻塞。
鼻息肉的原因尚未明确,可能与病原微生物、遗传因素、免疫机制等相互作用有关。
症状
鼻息肉起源于双侧中鼻道及鼻窦黏膜,突入鼻腔和鼻窦腔,外观通常为表面光滑的半透明软组织新生物,如常见的水肿型息肉形似鲜荔枝肉,色灰白,半透明,表面光滑,触之柔软,可移动,无疼痛,也不易出血。囊肿型息肉色微黄,触之软,状如储水的橡皮袋。纤维型、血管型息肉如含血管较多,则呈淡红或暗红色,表面光滑,触之较硬而带有弹性,可能伴随出血。
由于鼻息肉的病理改变为炎性反应,因此临床上将其分类为伴鼻息肉的慢性鼻窦炎,常见症状为进行性鼻塞,伴有清涕或黏性鼻涕,部分患者还可伴有嗅觉减退、头面部闷胀沉重感。

病因
发病机制尚未阐明,病原微生物、遗传因素、免疫机制和组织重塑等相互作用引发疾病。
如鼻病毒可以损伤鼻黏膜上皮屏障,入侵鼻黏膜,此外鼻息肉组织存在对病毒的免疫缺陷,在病毒感染后继发炎性因子表达,从而引起鼻息肉的相关症状表现。
治疗
治疗策略包括药物治疗和手术治疗,轻度鼻息肉可局部应用布地奈德鼻喷雾剂等缓解症状,如果无明显改善,可以考虑进行手术治疗,术后定期随访,并给予鼻腔冲洗,以减轻不适症状。
参考文献
[1]孙虹,张罗.耳鼻咽喉头颈外科学.第9版[M].北京.人民卫生出版社.2018.215-218.
[2]廉梅,程万民.鼻息肉患者病因及发病机制研究进展[J].医学理论与实践,2021,34(2):207-208,206.
展开
