概述
牙齿边缘发黑可能与龋病、牙结石等疾病有关,邻面龋为相邻牙齿间出现黑褐色改变;牙结石常见于牙龈和牙齿相邻位置有黑色改变。
症状
引起牙齿边缘发黑的疾病不同,临床表现略有不同。
龋病
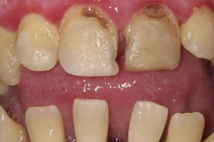
牙齿边缘发黑属于龋病中症状较轻的浅龋,表现为窝沟龋的龋损部位变黑、平滑面龋一般呈白垩色、黄褐色或褐色斑点,多无洞形成,用探针检查时有粗糙感或能钩住探针尖端。患者一般无自觉症状,对冷、酸、甜刺激亦无明显反应。

牙结石
牙结石外观呈黄白色、棕色或黑色,附在龈袋内及牙龈、牙颈部,患者还会出现牙龈组织出血和口腔异味,大量牙结石还会导致牙周组织发炎。

病因
引起牙齿边缘发黑的疾病不同,病因不同,多与不注意口腔卫生有关。牙结石的形成主要受唾液成分、饮食习惯、口腔卫生习惯等影响。
而龋病是一种多因素疾病,如自身抗菌能力差、细菌长时间附着牙齿、多食碳水化合物等原因相互作用,导致口腔微生物黏附在牙表面形成牙菌斑生物膜,利用糖类食物代谢产酸,并长时间堆积,进而造成牙体硬组织溶解,引起龋病。
治疗
引起牙齿边缘发黑的疾病不同,治疗手段略不相同。龋病浅龋的阶段主要采取非手术治疗,如采用再矿化、预防性树脂充填等技术,终止或消除龋病。
牙结石长期存在可导致牙龈病变和牙周病变,需及时去除,临床上多采用超声波治法。日常生活中需注意口腔卫生,饭后及时刷牙,可有效预防牙结石。
参考文献
[1]张志愿.口腔科学.第9版[M].北京.人民卫生出版社.2018.44-45.58.
[2]庞国明主编.实用结石病临床手册[M].北京:中国中医药出版社,2015.320-321.
展开
