概述
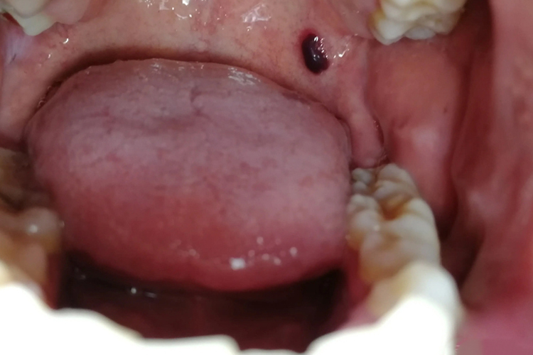
口腔里长了个黑色的疙瘩可能是口腔黑色素瘤、创伤性血疱导致的,可表现出以色素性结节、血疱的形式存在。
症状
导致口腔里长了个黑色疙瘩的原因较常见的为口腔黑色素瘤、创伤性血疱,具体症状如下:
口腔黑色素瘤
口腔黑色素瘤一般好发于成年人,多数出现于硬腭黏膜与上颌牙龈。主要临床表现为色素性结节,可以为灰色、黑色、紫红色或红色。典型病损为多发、广泛的色素斑点伴结节性生长,可有溃疡。

创伤性血疱
创伤性血疱易发生在咀嚼侧的软腭舌腭弓、颊、舌等部位,表现为血疱,血疱发生后可迅速扩大至直径1-3cm,疼痛不明显,但异物感明显,初起时疱液鲜红,之后变为紫黑色,疱壁较薄,容易破溃,破溃后遗留鲜红色疱底创面,疼痛明显。

病因
口腔黑色素瘤
恶性黑色素瘤是由色素痣恶化形成,可原发于正常皮肤或原发于内脏等处,是较易转移的恶性肿瘤。
创伤性血疱
创伤性血疱是因食用过烫、过硬或吞咽大块食物擦伤口腔黏膜,而引起的黏膜血疱。
治疗
口腔黑色素瘤
口腔黑色素瘤可采用根治性手术切除的方式进行治疗。
创伤性血疱
创伤性血疱多可自行破溃。未破溃的血疱可用无菌注射器抽取疱液,或刺破血疱。局部可遵医嘱用止痛、防腐、促进愈合的外用药,如复方氯己定含漱液等。
参考文献
[1]王莉芬.病理学 高级医师进阶 第2版[M].北京:中国协和医科大学出版社.2020.01.311.
[2]陈振东,王雅杰,唐金梅,张长乐,雄建萍主编.肿瘤综合治疗学[M].合肥:安徽科学技术出版社.2015.01.545.
[3]王发渭,郝爱真主编.疑难病症效验良方[M].郑州:河南科学技术出版社.2019.04.478.
[4]华红,刘宏伟.口腔黏膜病学.第1版[M].北京.北京大学医学出版社.2014.94-95.
展开
