概述
宫颈口有小疙瘩常见于宫颈息肉、宫颈纳氏囊肿,可表现为宫颈口有赘生物突出,同时还会伴随其他症状。
宫颈口有小疙瘩可能是由于局部长期的慢性炎症刺激导致,也可能与内分泌紊乱、病原体感染有关。
症状
宫颈息肉
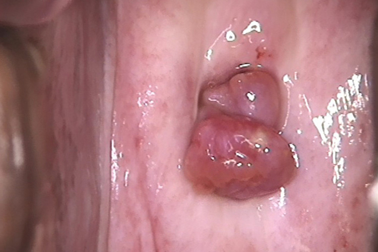
当用阴道窥器暴露宫颈时,可见息肉的外形大小不等,形状不一,如舌形、圆形、扁圆形,其表面光滑、鲜红或稍呈暗红色,质软,外观如水滴,有的带蒂或是蒂深入到宫颈管内,质地较脆。宫颈息肉易发生接触性出血,如妇科检查时碰到息肉或同房后出血。

宫颈纳氏囊肿
宫颈纳氏囊肿又称为宫颈腺体囊肿,检查时可以看到宫颈表面突出多个大小不一的青白色囊泡(并非紫色),内含黏液。小的宫颈纳氏囊肿如米粒大,有的如玉米粒大。根部与宫颈之间有蒂相连,常合并宫颈肥大。

病因
一般认为是慢性炎症的长期刺激可促使宫颈黏膜过度增生,加上子宫有排除异物的倾向,可使增生的黏膜逐渐自基底部向子宫颈外口突出而形成息肉。通常由分娩、流产、产褥期感染、手术操作或机械刺激、性交损伤子宫颈,均可导致病原体侵入宫颈,引起局部炎症,若发展为慢性炎症,就会使腺管口狭窄,导致宫颈纳氏囊肿形成。
诊断
宫颈有小肉疙瘩应及时进行妇科检查,一般宫颈息肉和宫颈纳氏囊肿在进行妇科检查双合诊时很容易发现,但较小的宫颈病变只有在用阴道窥器暴露宫颈后才能看到。宫颈息肉少数人群可发生恶性病变,所以还应该进行宫颈刮片细胞学检查,再取息肉送病理检查,以排除宫颈恶变的可能。
治疗
慢性宫颈炎所致的宫颈纳氏囊肿,需针对病因给予药物治疗,获得病原体检测结果后,通常采用抗生素药物治疗。如果发现较大的宫颈纳氏囊肿,或发现宫颈息肉,一般采取手术切除,如宫腔镜下电切术。
参考文献
[1] 金志军,王丹主编.子宫颈疾病[M].上海:第二军医大学出版社,2016.25-26.
[2] 孙学全,马良志,高楠主编.孙学全针灸治疗手册[M].北京:中国中医药出版社,2017.219.
