概述
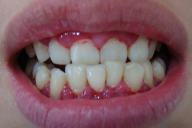
牙龈上有红色点点考虑可能是牙龈炎,表现为牙龈组织内血管增生、充血,导致游离龈和龈乳头呈鲜红或暗红色,多由牙菌斑引起。
症状
牙龈上有红色点点考虑可能是牙龈炎,可分为慢性龈炎、青春期龈炎、妊娠期龈炎等,具体症状如下:
慢性龈炎
慢性龈炎患者常因刷牙或咬硬物时牙龈出血,但一般无自发性出血。牙龈外缘变厚,龈乳头圆顿肥大,可增生呈球状覆盖牙面,附着龈点彩消失,表面光亮。

青春期龈炎
青春期龈炎是指发生于青春期的慢性非特异性牙龈炎,一般无自觉症状或有刷牙、咬硬物时出血以及口臭等。好发于前牙唇侧的牙龈乳头和龈缘部分,舌侧较少见。唇侧龈缘及龈乳头明显肿胀,呈球状突起,牙龈色暗红或鲜红,质地软,龈沟加深。

妊娠期龈炎
妊娠期龈炎发生于个别牙或全口牙龈,以前牙区多见。龈乳头及牙龈边缘,呈鲜红色或暗红色,松软而光亮,触之极易出血,牙龈肿胀、肥大明显,龈沟深形成龈袋。患者常出现牙龈出血,一般无疼痛,当龈缘有溃疡和假膜时,可有轻度疼痛。

病因
牙龈上有红色点点是由龈缘附近牙面上堆积的牙菌斑所致,其他如牙石、食物嵌塞、不良修复体等均可促使菌斑积聚,引发或加重该症状。此外,也可能与乳恒牙的更替、牙列不齐、口呼吸、戴矫治器以及不注意维护口腔卫生等因素有关。
治疗
牙龈上有红色点点,确诊后需在医生指导下治疗。主要以去除病因和防止复发为主。基础治疗包括洁治术、龈下刮治术、食物嵌塞的治疗等。对于症状较重的患者,可配合局部药物治疗。常用的局部药物有过氧化氢溶液、氯己定等,一般不全身应用抗生素治疗。必要时采取外科手术方法治疗,常用的是牙龈切除术。
参考文献
[1]张志愿.口腔科学.第9版[M].北京.人民卫生出版社.2018.63-66.
[2]刘秦鹏.现代临床外科疾病诊断与治疗[M].天津.天津科学技术出版社,2020.177.
展开
