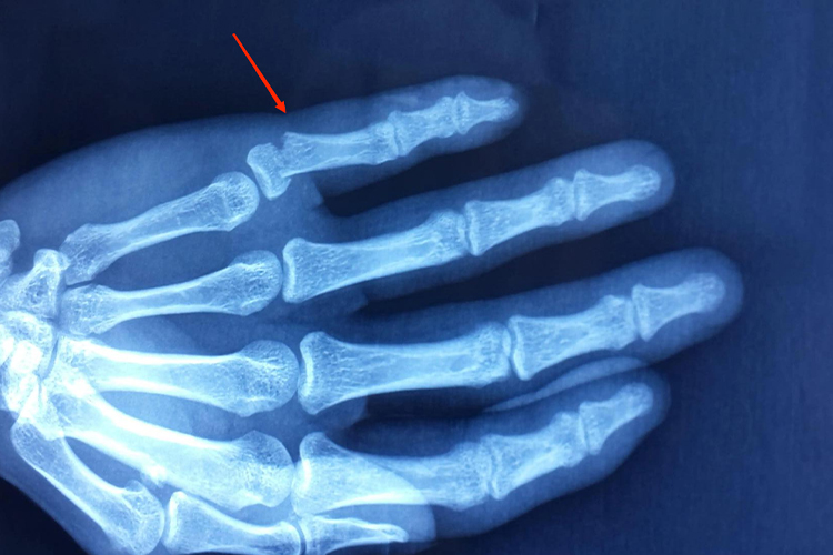
概述
小拇指骨折主要表现为局部疼痛、肿胀和功能障碍,还可能伴有骨擦音等表现。
小拇指骨折通常为暴力直接作用于小拇指导致,可通过复位等方式进行治疗。
症状
小拇指骨折时会出现疼痛、肿胀、指关节活动受限制等症状,在移动病指时疼痛加剧,伴明显压痛,还可能出现小拇指畸形、骨擦音和骨擦感等症状。

病因
小拇指骨折通常为直接暴力引起,如硬物的砸伤、机器的绞伤、挤压伤等,多为横断形、斜形、螺旋形等。
治疗
小拇指骨折一般可先试行手法复位,如果不成功,可在掌指关节掌侧远掌横纹做一长约2.5cm的横切口,进行手术复位,手术后屈曲位石膏固定3周左右,日常应注意保护受伤的小拇指,避免再次损伤。
参考文献
[1]姜虹.骨外科学高级医师进阶.第1版[M].北京.中国协和医科大学出版社.2016.199,202.
[2]陈孝平,汪建平,赵继宗.外科学.第9版[M].北京.人民卫生出版社.2018.611,614.
展开
