概述
不同类型的外伤性白内障,具体症状有所区别,都可导致眼睛混浊,对视力影响不大时,以随诊观察为主,严重时需遵医嘱进行手术。
症状
外伤性白内障可累及眼睛,导致局部混浊,似有白斑出现,根据病因不同,可将外伤性白内障分为:钝挫伤、穿孔伤、爆炸伤、电击伤所致白内障。
眼部钝挫伤所致白内障:瞳孔缘部虹膜色素上皮破裂脱落,相应的囊膜下出现混浊,像白斑一样,混浊边缘较清晰,很少累及双眼,常单眼发生。

眼球穿孔伤所致白内障:如破口小而浅,伤后破口可很快闭合,形成局限混浊。如破口大而深,则晶状体全部混浊,似有白斑出现。皮质经囊膜破口突入前房,可以继发葡萄膜炎或青光眼。

眼部爆炸伤所致白内障:患者的囊膜被广泛破坏,眼睛中间混浊有一块白斑,外表看似附着一层假膜,伴有视力下降、视物模糊等症状。

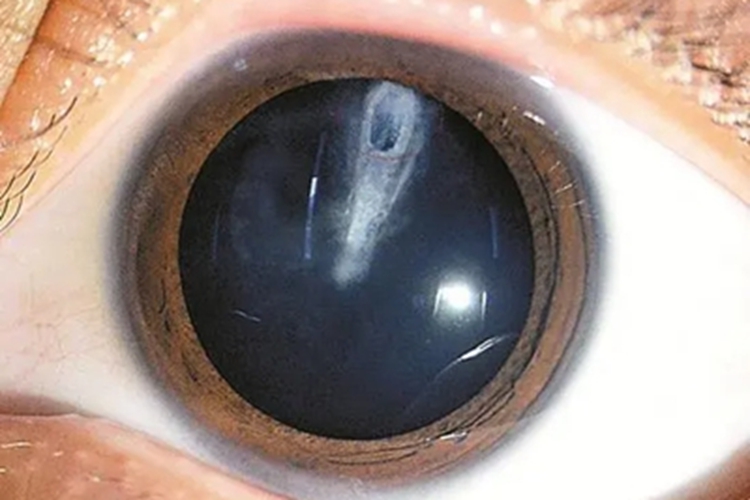
电击伤所致白内障:患者沿黑眼球边缘出现散在的点状混浊,颜色不均匀,乳白色为主,形似白斑,越向中间颜色越浅,中间感觉有一层白纱覆盖似的,边缘不规则,患者常出现视物模糊、复视,甚至出现视力下降。

病因
外伤性白内障的病因包括钝挫伤、穿孔伤、爆炸伤、电击伤等,视力障碍与伤害程度有关,如果瞳孔区晶状体受伤视力很快减退。当晶状体囊膜广泛受伤时,除视力障碍外,还伴有眼前节明显炎症或继发性青光眼。
治疗
外伤性白内障导致的晶状体局限混浊,对视力影响不大时,以随诊观察为主。当晶状体混浊明显而影响视力时,应当遵医嘱施行白内障摘除术。当晶状体破裂,皮质突入前房时,可用糖皮质激素、非甾体抗炎药及降眼压药物治疗,待前节炎症反应消退后,再行手术摘除白内障。
如经治疗,炎症反应不减轻或眼压升高不能控制,或晶状体皮质与角膜内皮层接触时,应当及时摘除白内障。由于外伤性白内障多为单眼,白内障摘除术后应尽可能同时植入人工晶状体。
需注意,以上治疗均需遵医嘱进行。
参考文献
[1]杨培增,范先群.眼科学.第9版[M].北京.人民卫生出版社.2018.140-141.
[2]张旭东.实用眼科学.第1版[M].北京.科学出版社.2015.259-260.
