概述
睾丸结石的患者睾丸局部有明显的疼痛、隐痛下坠感,可触摸到睾丸内有明显的结节,质地硬光滑,超声表现为大量点状强回声。
症状
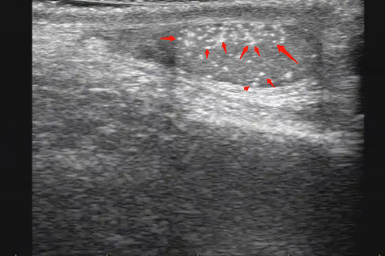
患者出现睾丸结石时,可用手指在睾丸外周触摸到一个或多个质地坚硬、表面光滑的结石感,或有结石摩擦感,合并炎症者有触痛,坠胀感明显。结石停留于射精管中阻碍精液排出时,可引起绞痛,阴茎勃起时或射精时,症状加重。患者进行超声检查时,可见双侧或单侧睾丸实质内弥散分布大量的点状强回声,后方无声影。


病因
睾丸结石的病因目前尚不清楚,分析与男性不育症、隐睾、萎缩性睾丸、睾丸发育不良、睾丸肿瘤以及某些遗传性疾病等多种疾病有关。
治疗
睾丸结石的患者普遍为炎症携带者,感染会加大梗阻度,一般无自觉症状时,可优先进行抗感染治疗。对于慢性炎症者可在炎症好转后的患者,可以考虑手术切开取石治疗。
参考文献
[1]杨登科,陈书奎主编,实用泌尿生殖外科疾病诊疗学[M],北京,人民军医出版社,2015.610-611.
[2]陈宝定,鹿皎主编,临床超声医学[M],江苏,江苏大学出版社,2018.266.
展开
