概述
正常鼻甲表面黏膜一般呈淡红色,各鼻道之间无分泌物积聚,而鼻甲肥大是一种病理性表现,多表现为鼻黏膜肿胀、鼻塞、鼻涕黏稠等。
鼻甲肥大多是由慢性炎症刺激导致,卫生、生活环境等因素也可诱发。
症状
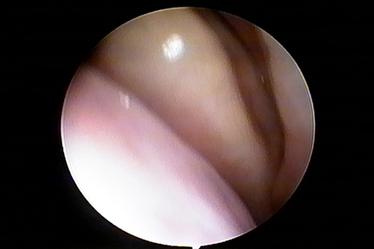
正常鼻甲
鼻甲位于鼻腔内,分为上、中、下鼻甲,正常鼻甲表面黏膜呈淡红色,光滑、湿润、有弹性,3个鼻甲之间及其与鼻中隔之间分别有一定距离,各鼻道无分泌物积聚。

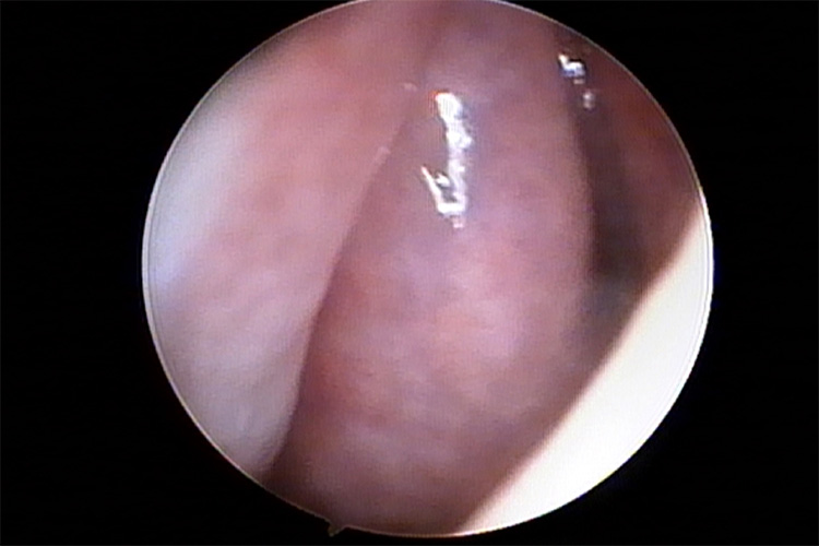
鼻甲肥大
鼻甲肥大主要表现为黏膜肿胀,呈粉红色或紫红色,表面不平,或呈节状或桑椹状;鼻涕稠厚,多呈黏液性或黏脓性。可引起严重的鼻塞,多为持续性张口呼吸,嗅觉减退。当肥大的中鼻甲压迫鼻中隔时可不定期出现额部疼痛,并向鼻梁和眼眶放射。


病因
鼻甲肥大可由慢性单纯性鼻炎发展而来,也可因长期烟酒刺激,免疫力低下、长期用药、过敏反应等诱发。
诊断
本病可通过患者病史、典型临床表现,结合鼻内镜、鼻通气检查等综合诊断。
治疗
鼻甲肥大可根据病情严重程度选择治疗方式,轻症患者可选择药物治疗,症状严重者可使用射频消融术或手术切除。
参考文献
[1]梁振声编.针刀五官科学[M].北京:中国中医药出版社,2012.08.198.
[2]张念武等主编.五官科疾病诊断与治疗[M].上海:上海交通大学出版社,2018.06.86.
[3]刘永杰编著.一学就会手诊面诊大全[M].北京:中医古籍出版社,2016.07.484.
[4]鼻甲肥大是否需要手术[J].家庭医药:就医选药,2020(1):55-56.
[5]石翠玲主编.实用临床常见多发疾病护理常规[M].上海:上海交通大学出版社,2018.06.413.
[6]孙虹,张罗等.耳鼻咽喉头颈外科学 第9版[M].北京:人民卫生出版社, 2019.02.160-163.
展开
