概述
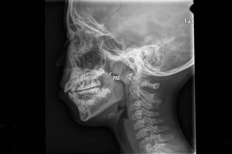
腺样体肥大X线诊断标准,主要是测量腺样体厚度和鼻咽腔宽度,然后计算两者比值,比值>0.6则为肥大,同时需结合症状诊断。
症状
腺样体肥大通过拍摄鼻咽部侧位X线,测量腺样体的厚度和测量鼻咽腔的宽度,然后计算两者的比值可进行判定。比值0.5-0.6为正常;0.61到0.70为中度肥大;0.71以上为病理性肥大;0.8以上为显著肥大。
同时,需结合患者的临床表现,如鼻塞、张口呼吸、打鼾、听力减退、耳鸣等,来进行综合判断。

病因
腺样体肥大常见的病因为急慢性鼻咽炎的反复发作,以及邻近器官如鼻腔、鼻窦、扁桃体的炎症亦可波及鼻咽部,刺激腺样体组织增生。
治疗
腺样体肥大患者应注意营养,预防感冒,提高机体免疫力,积极治疗原发病。随着年龄的增长,腺样体将逐渐萎缩,病情可能得到缓解或症状完全消失。若保守治疗无效,应尽早经口或鼻内镜行腺样体切除术。手术常同扁桃体切除术一并施行,若扁桃体无明确的手术适应症,可单独切除腺样体。
参考文献
[1]孙虹,张罗.耳鼻咽喉头颈外科学.第9版[M].北京.人民卫生出版社.2018.284-285.
[2]邢健,刘挨师主编.全国普通高等医学院校五年制临床医学专业"十三五"规划教材 医学影像学[M].北京.中国医药科技出版社.2016.340.
[3]朱向阳等主编.现代耳鼻咽喉-头颈外科诊疗[M].北京.科学技术文献出版社.2018.130-131.
展开
