概述
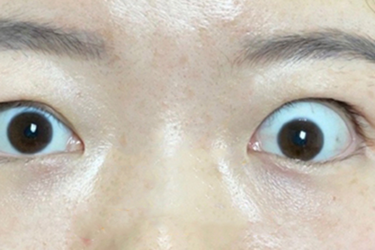
甲状腺相关眼病可使患者眼球突出,呈瞪眼状,可导致眼睑闭合不全,多伴畏光等症状。
甲状腺相关眼病可能与体液免疫、细胞免疫等因素有关,应遵医嘱用药治疗。
症状
甲状腺相关眼病部分患者可出现眼球突出,呈瞪眼状,睑裂开大,暴露上方部分巩膜,眼球下转时上睑不能随之下落,眼球运动障碍和复视。重度眼球突出可导致眼睑闭合不全,可伴畏光、流泪、视力下降等症状,伴有甲状腺功能亢进者还有急躁、脉搏加快、消瘦、食欲增加等表现。



病因
甲状腺相关眼病的病因不明,可能与体液免疫、细胞免疫、球后促甲状腺素受体异常表达、成纤维细胞异常增生等因素关系密切,也与种族、遗传及生活方式相关,比如吸烟已经明确是其危险因素。
治疗
存在甲状腺相关眼病的患者,如伴有甲状腺功能异常,需遵医嘱积极治疗原发病。眼部治疗包括药物治疗、放射治疗和手术治疗等,可由医生根据情况选择。药物主要是使用糖皮质激素,严重者可联用免疫抑制剂。放射治疗适用于伴有眼外肌肥大的活动期甲状腺相关眼病患者。手术治疗主要包括眼眶减压术、眼肌手术和眼睑手术。
参考文献
[1]杨培增,范先群.眼科学.第9版[M].北京.人民卫生出版社.2018.263-264.
[2]葛均波,徐永健.眼病学.第3版[M].北京.人民卫生出版社.2017.180-182.
展开
