概述
双胞胎30天B超一般还看不出来,此时只有少部分孕妇可以发现孕囊,明确是早孕。若想确定双胞胎,一般需要等到6-7周。
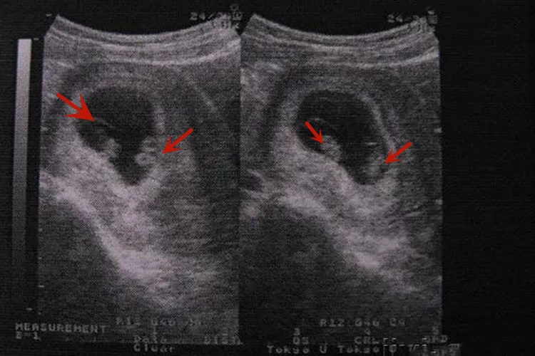
B超表现
双胞胎30天B超一般还看不出来。孕妇进行B超检查,最早在怀孕30天时可发现妊娠囊,但只是部分孕妇能够发现,而且只能确定是早孕,不能确定是单胎还是双胞胎。一般需要等到6-7周,此时进行B超检查可以确定是单胎还是双胞胎,怀双胞胎者可发现宫腔内有2个妊娠囊,或者1个妊娠囊里有2个胚胎,即异卵双胞胎以及同卵双胞胎。


注意事项
孕妇注意补充足够的营养,尤其是怀双胞胎的孕妇,应注意补充铁、叶酸、钙剂等。注意定期孕检,监护胎儿生长发育及胎位变化。若出现妊娠期高血压等疾病,应及早治疗。
参考文献
[1]谢幸,孔北华,段涛.妇产科学.第9版[M].北京.人民卫生出版社.2018.43.
[2]陈建明,苗竹林主编.复发性流产[M].广州.广东科技出版社.2015.421.
展开
